Smile Gallery

Smile of the Month

When Dr. Kolen first started offering orthodontic treatment, this family was the first to say yes! Since then, Dr. Kolen has treated seven family members orthodontically; with traditional braces and/or Invisalign. We are sincerely grateful for their trust in Dr. Kolen and our team to improve their health and smiles and feel fortunate for the relationship that we’ve built over the years!

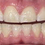
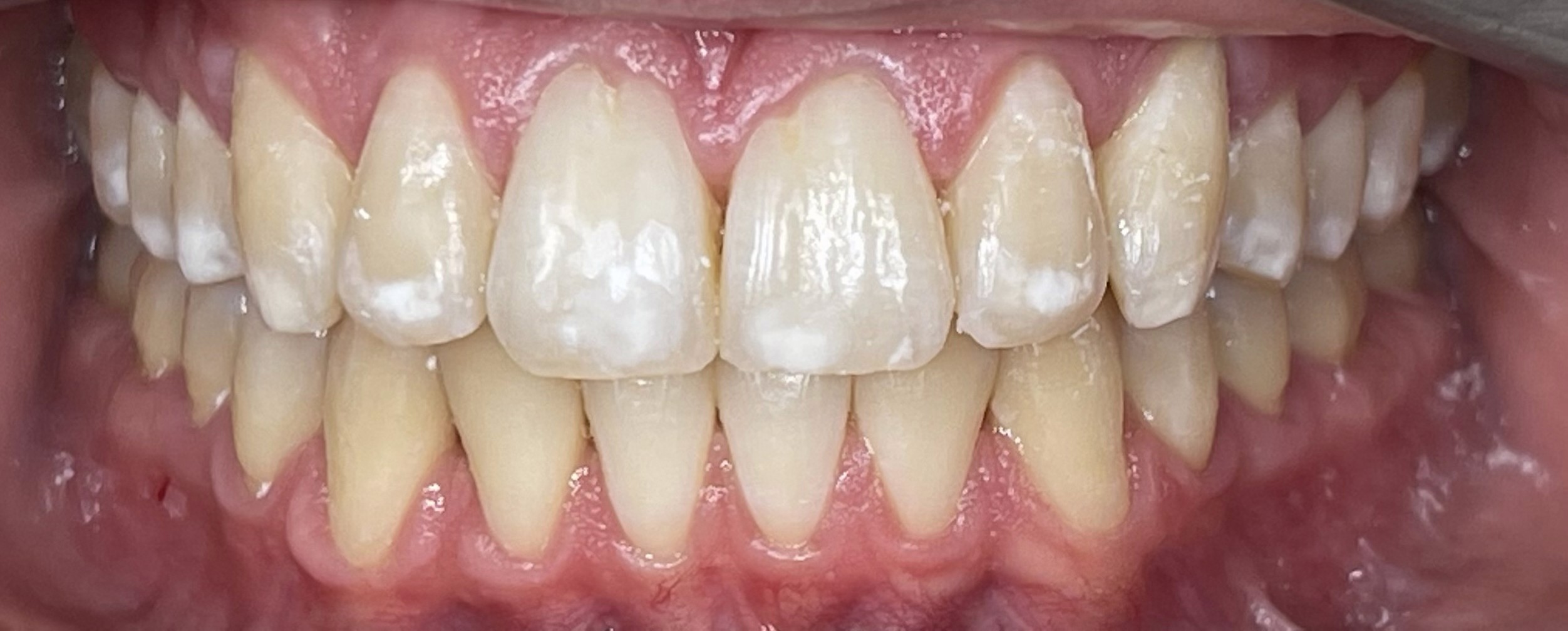
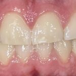
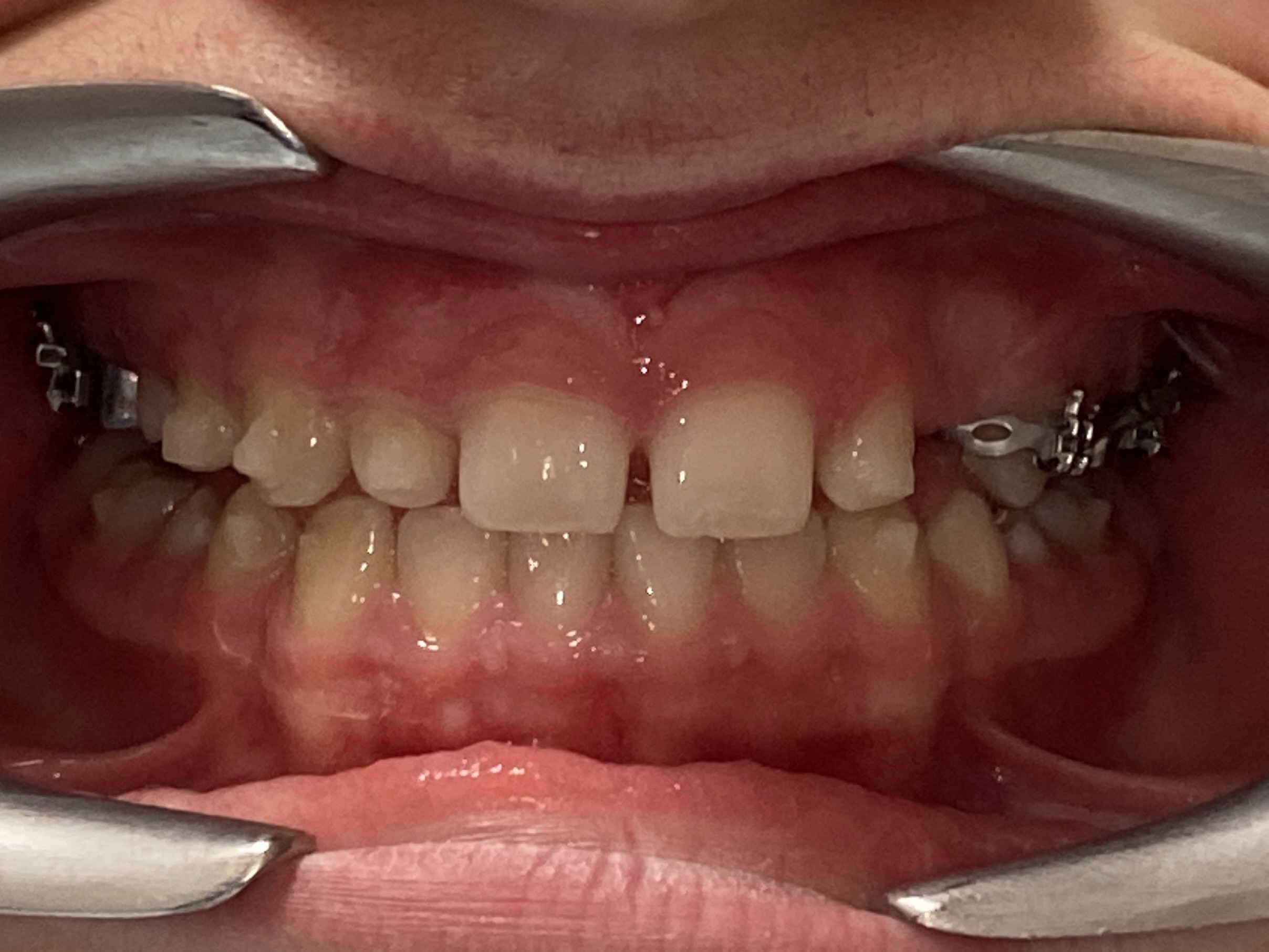
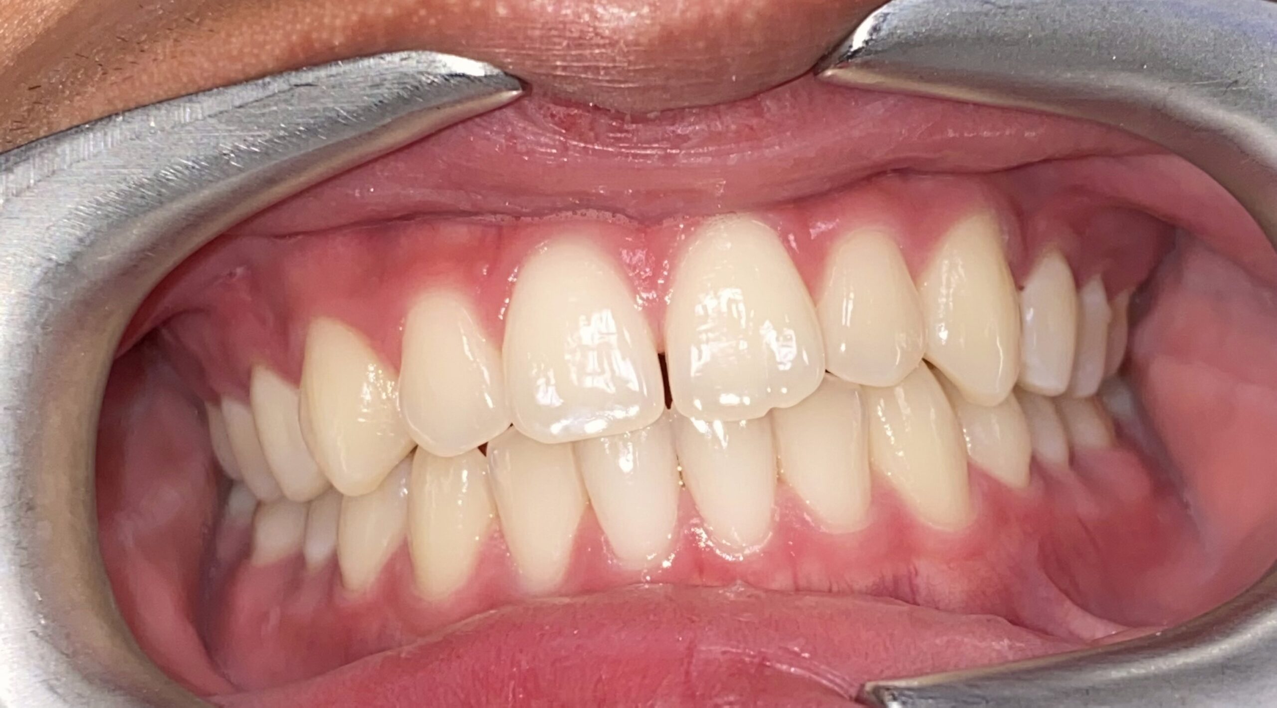
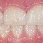
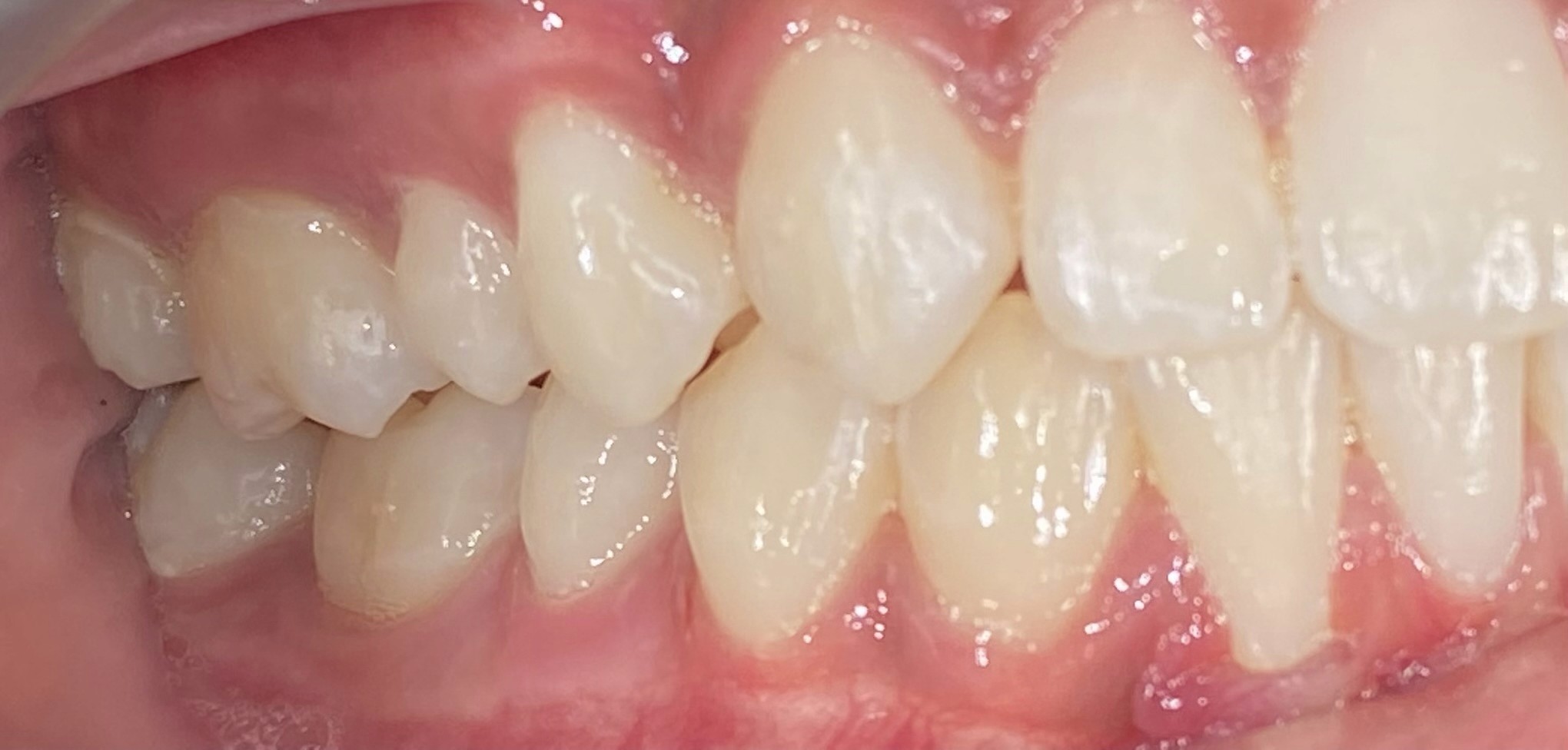
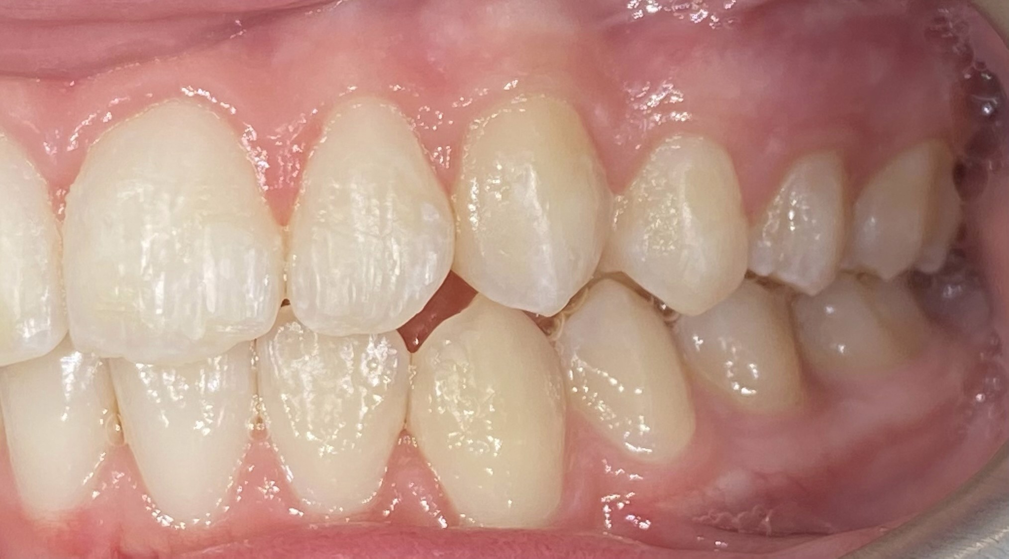
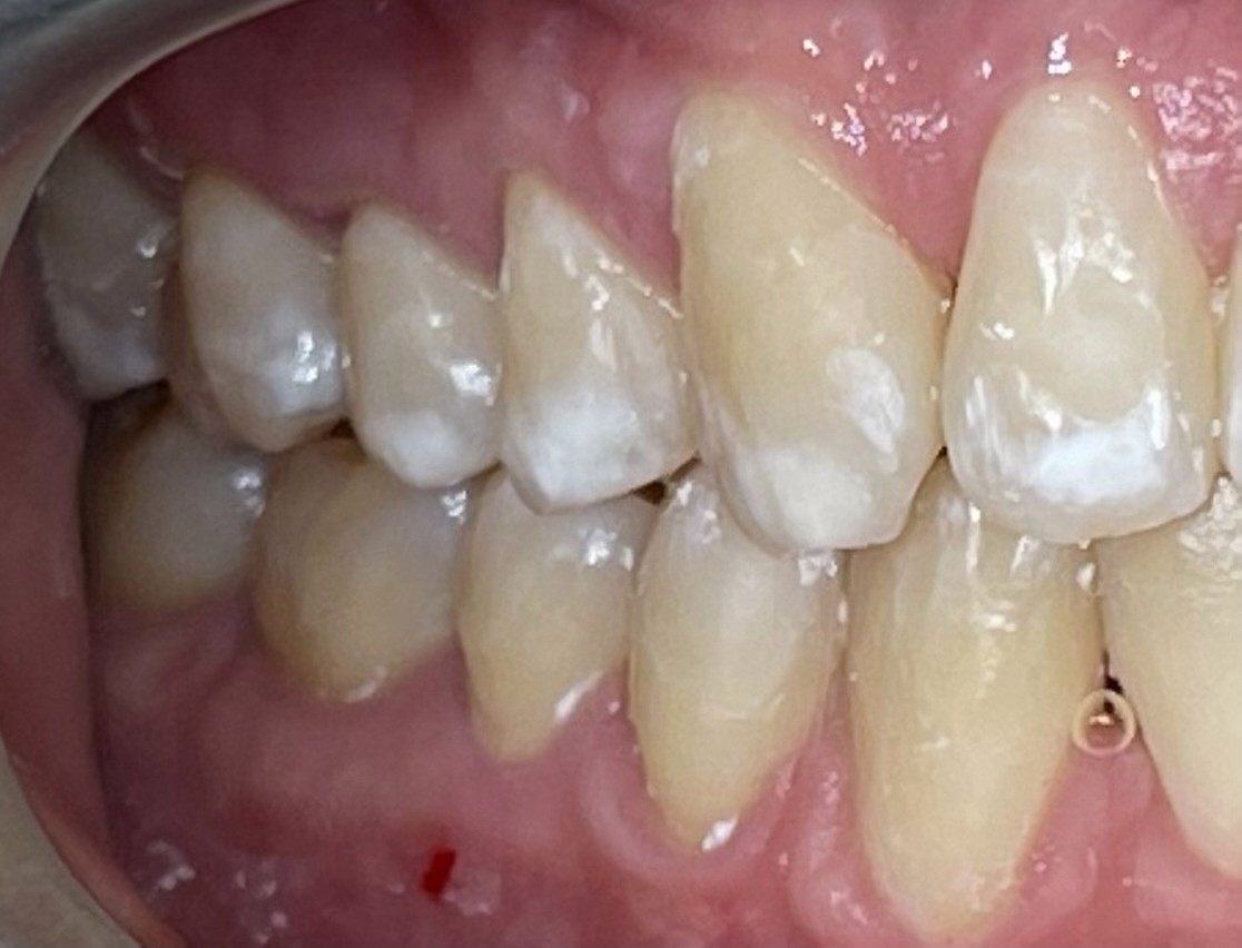
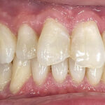
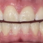
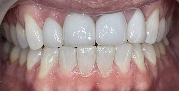
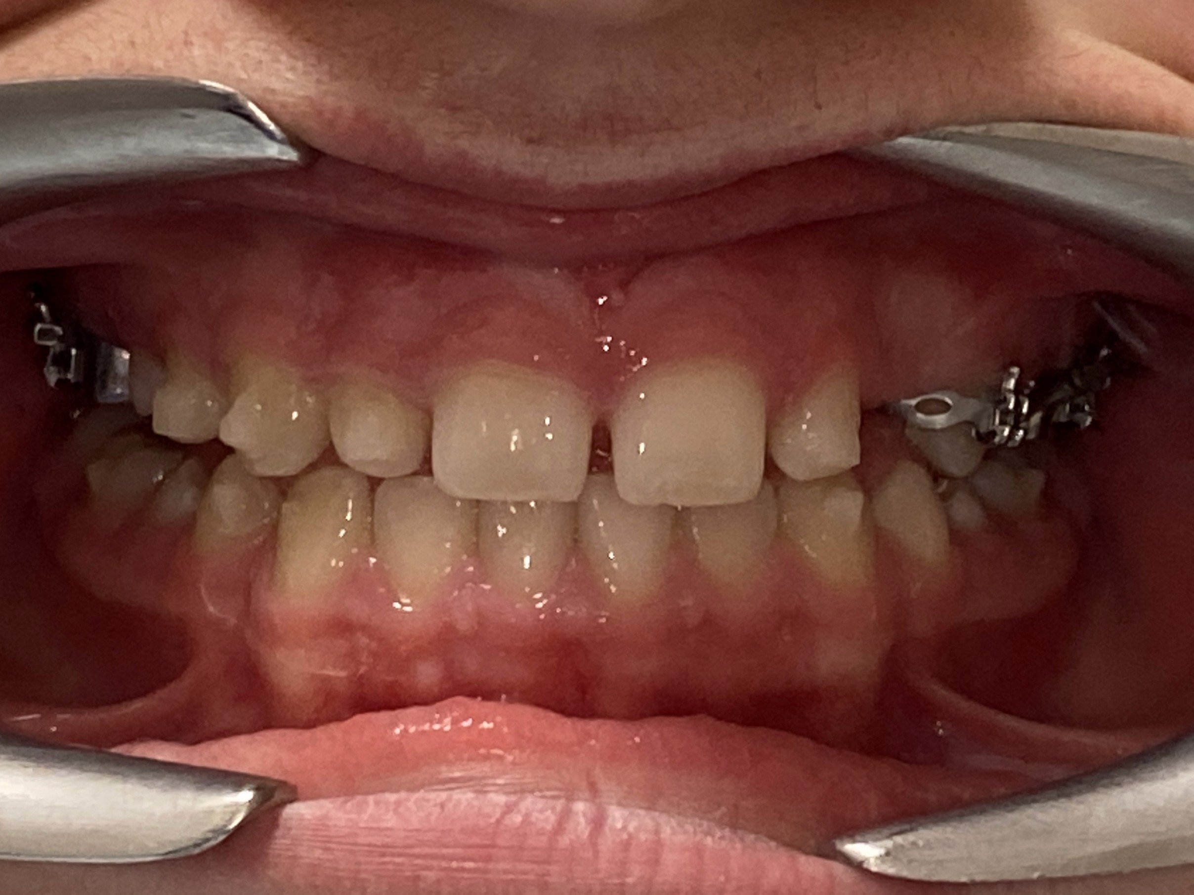
Patient 4 Invisalign

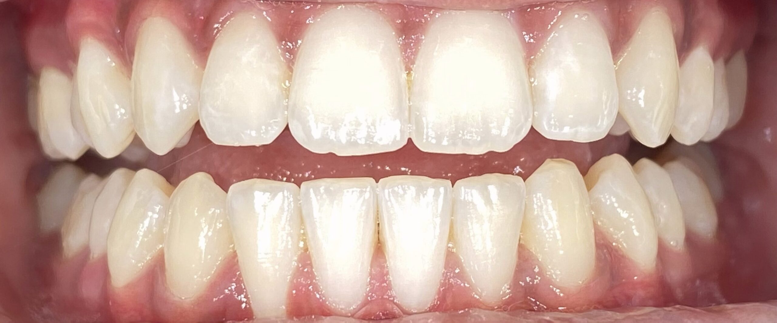
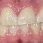
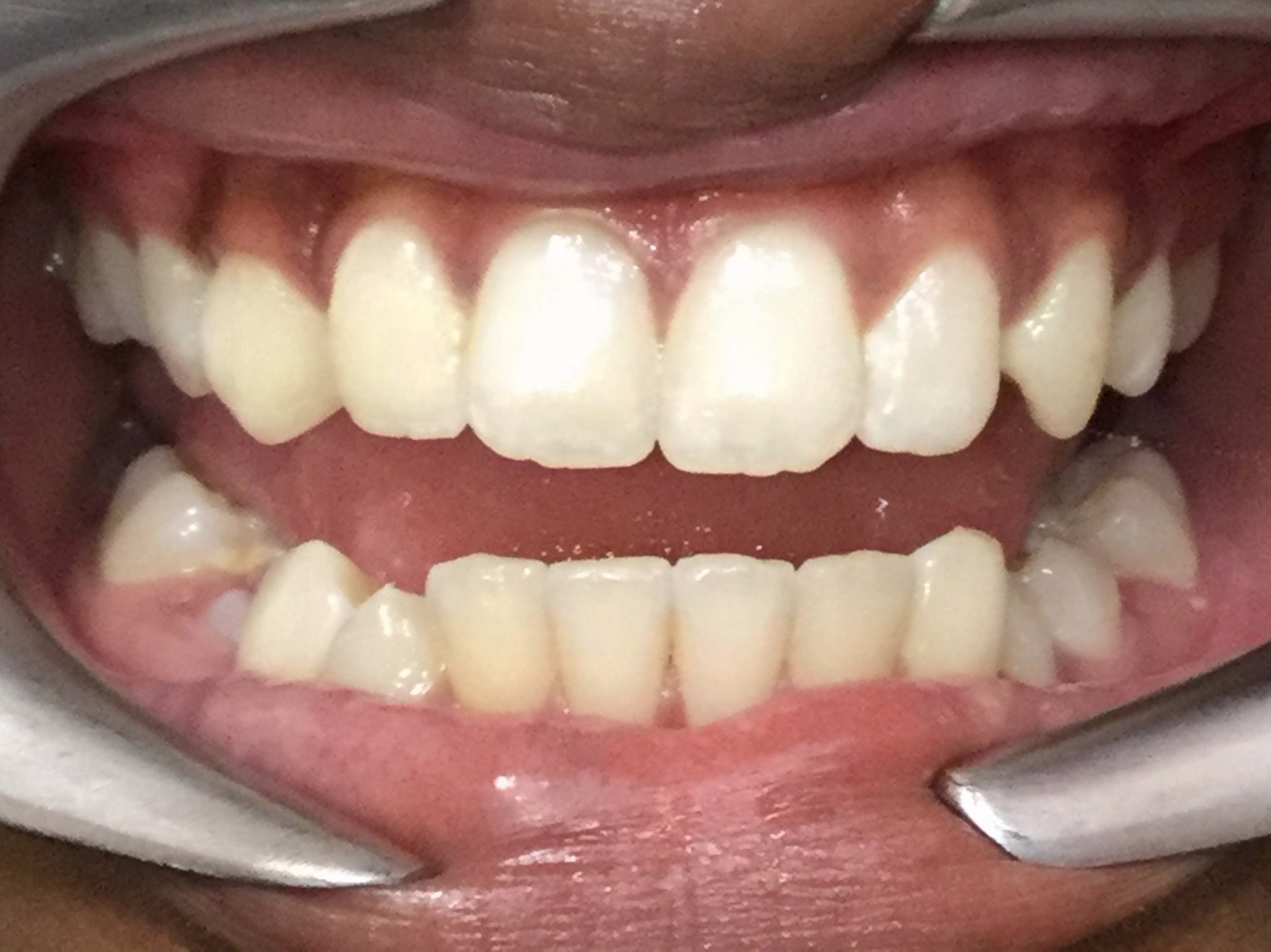
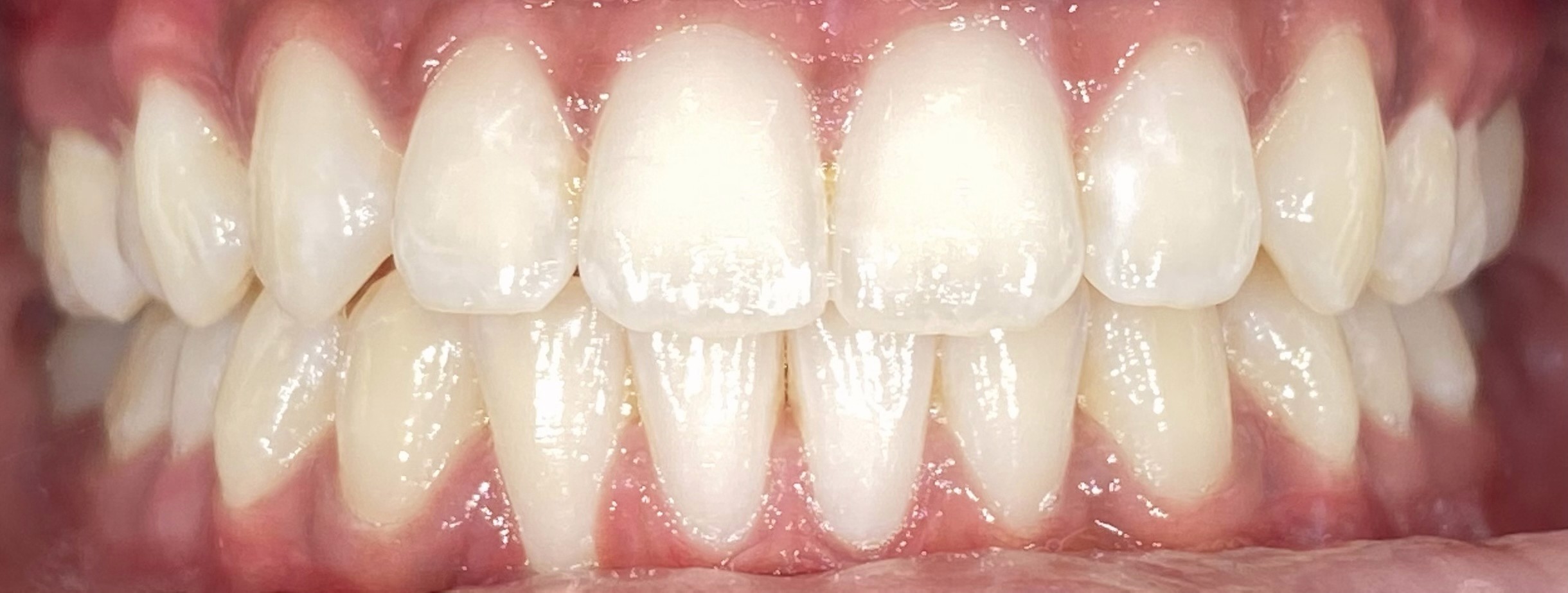
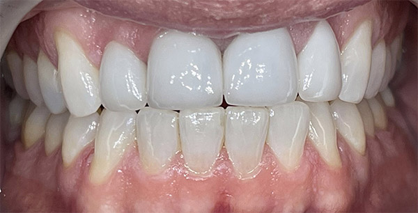
A glowing smile with Invisalign!

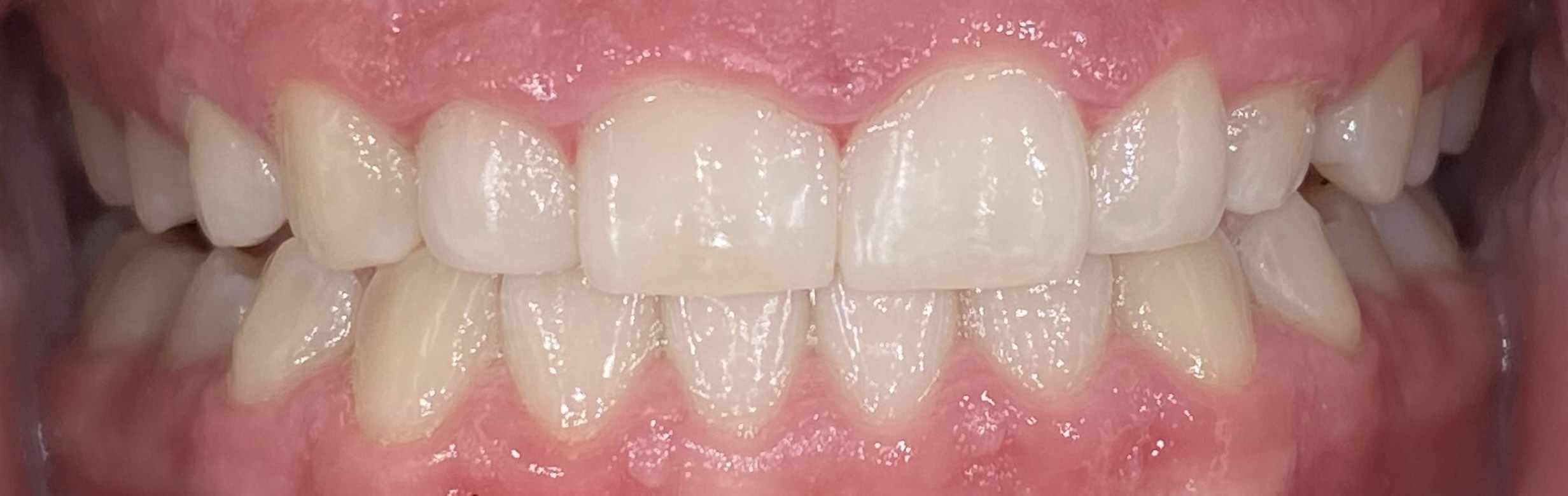
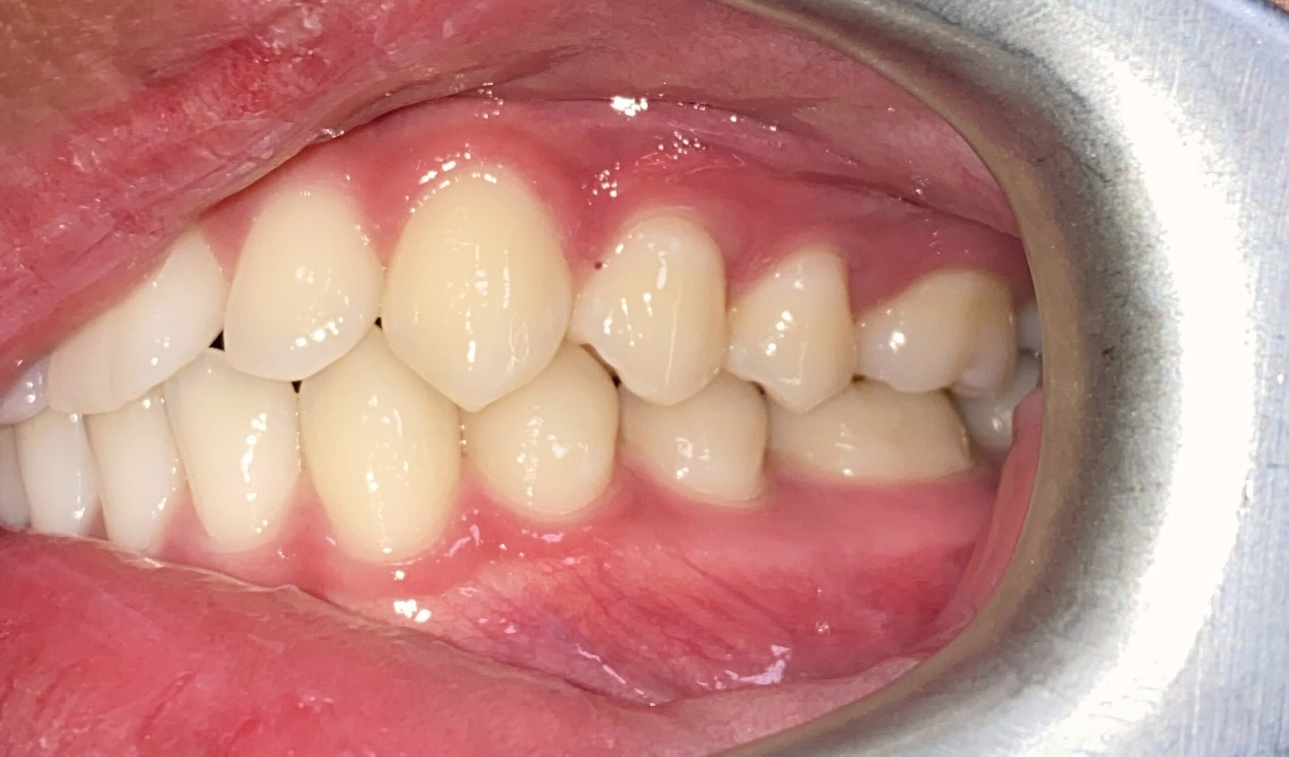
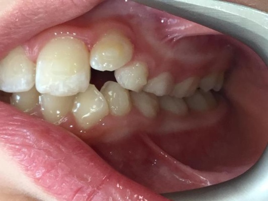
This patient came to us with a nice smile, but her bite was slightly uneven and crooked. On Dr. Kolen’s advice, she agreed to an Invisalign treatment plan, and now look at her teeth! Flawless ⭐

View Patient Album

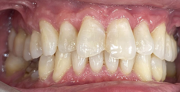
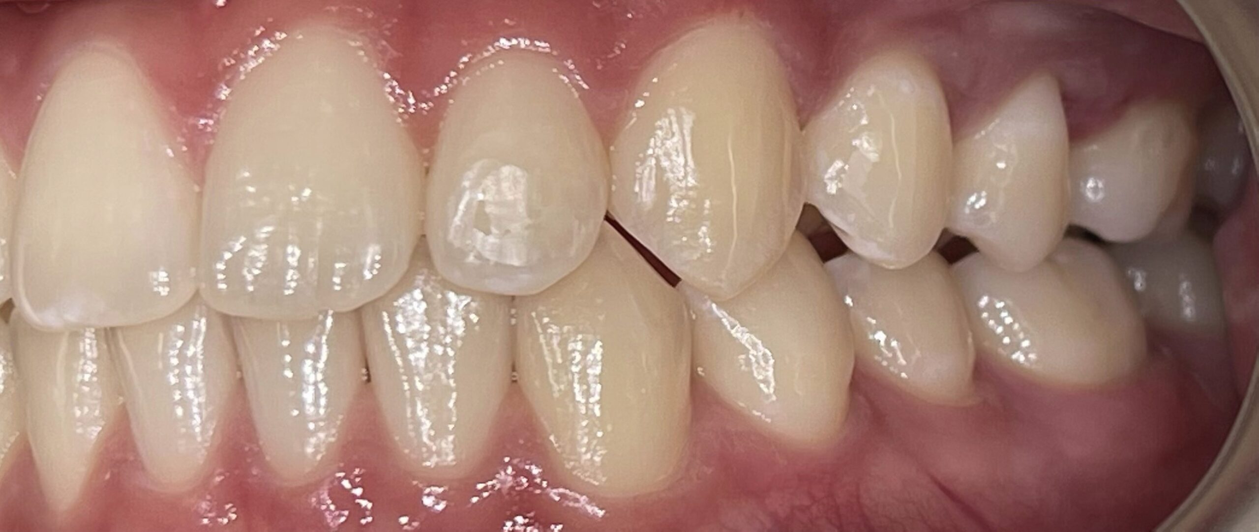
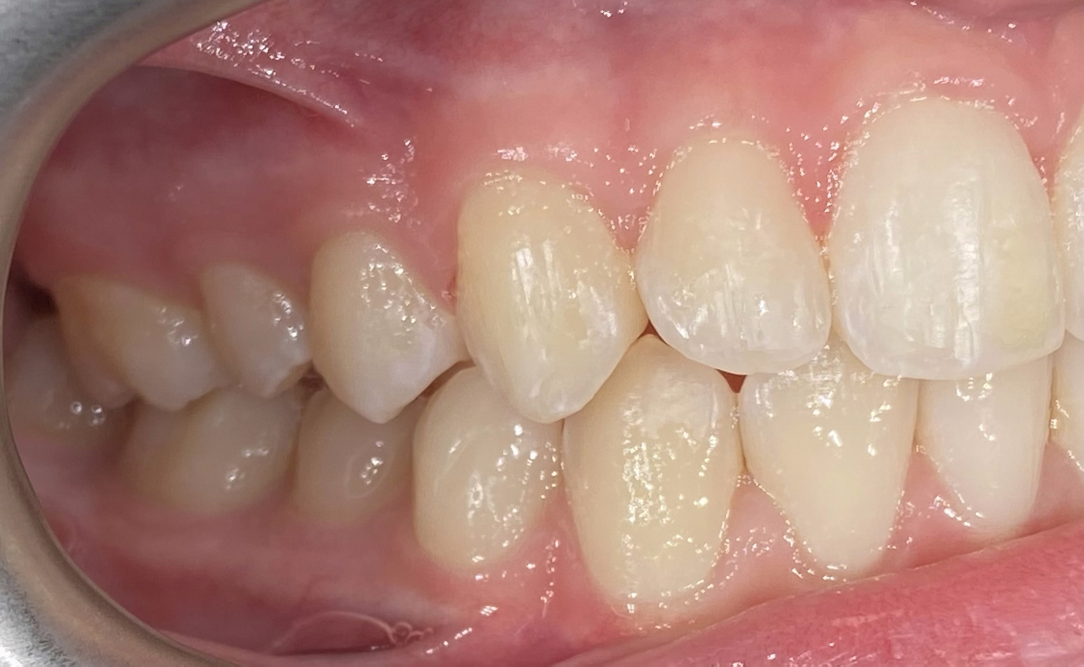
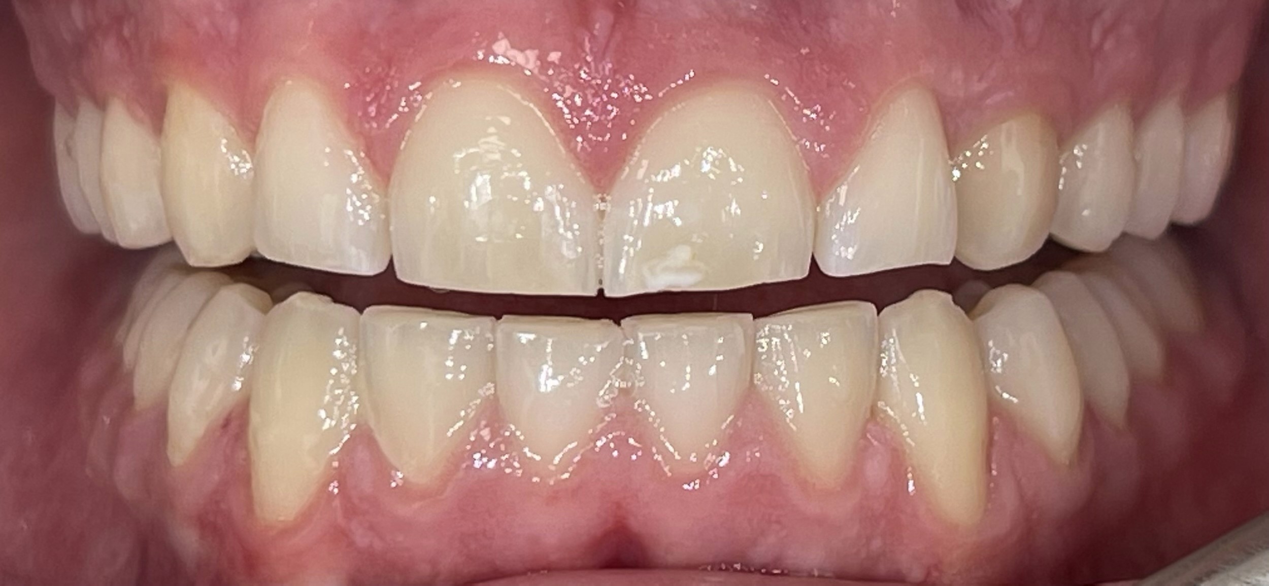
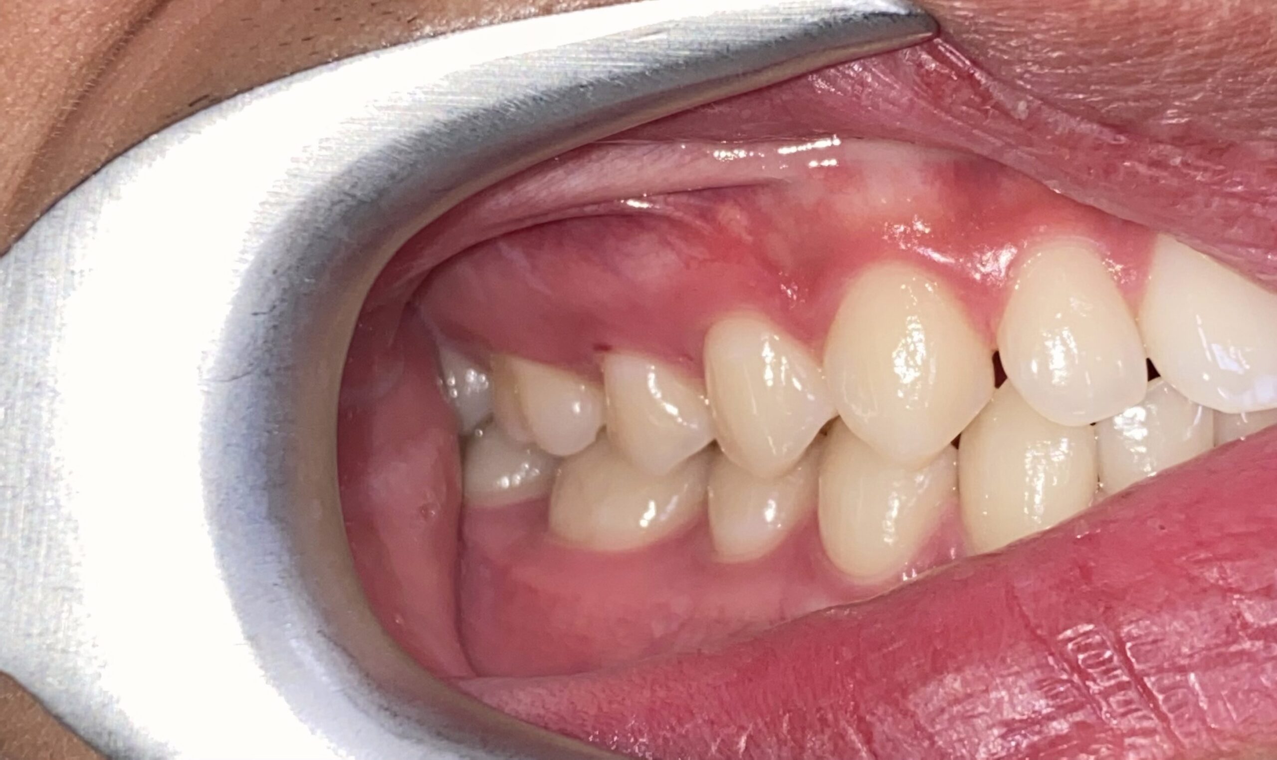
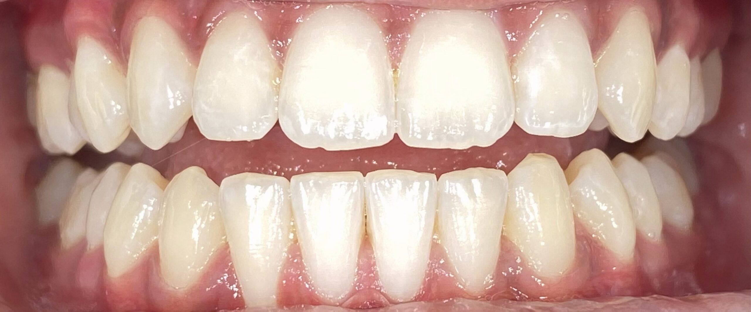
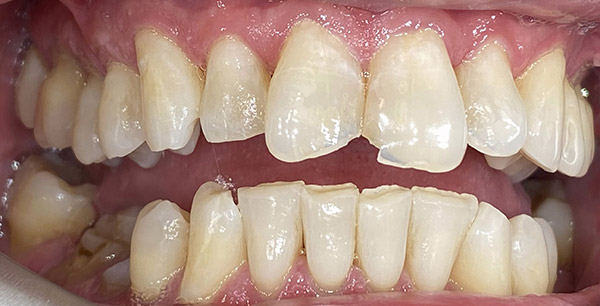
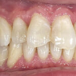
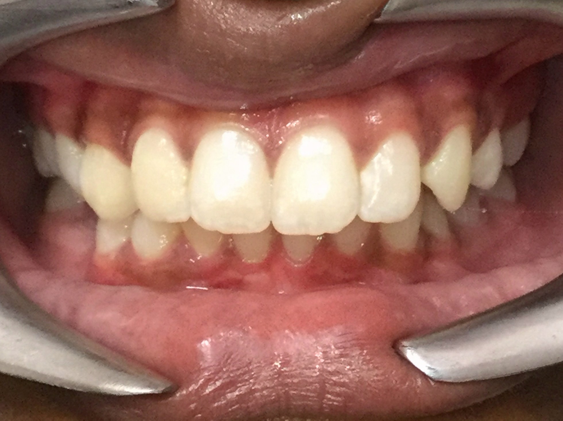
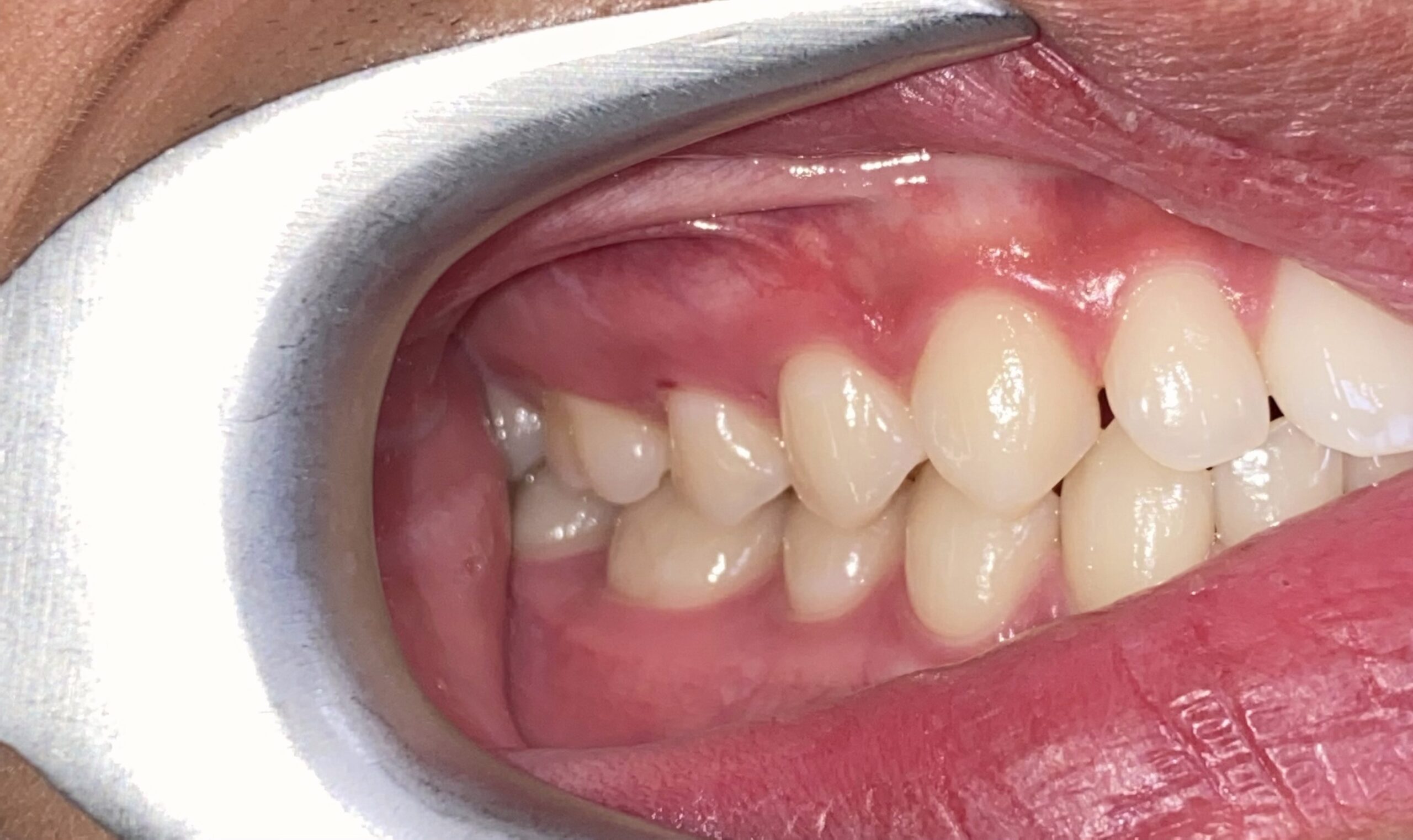
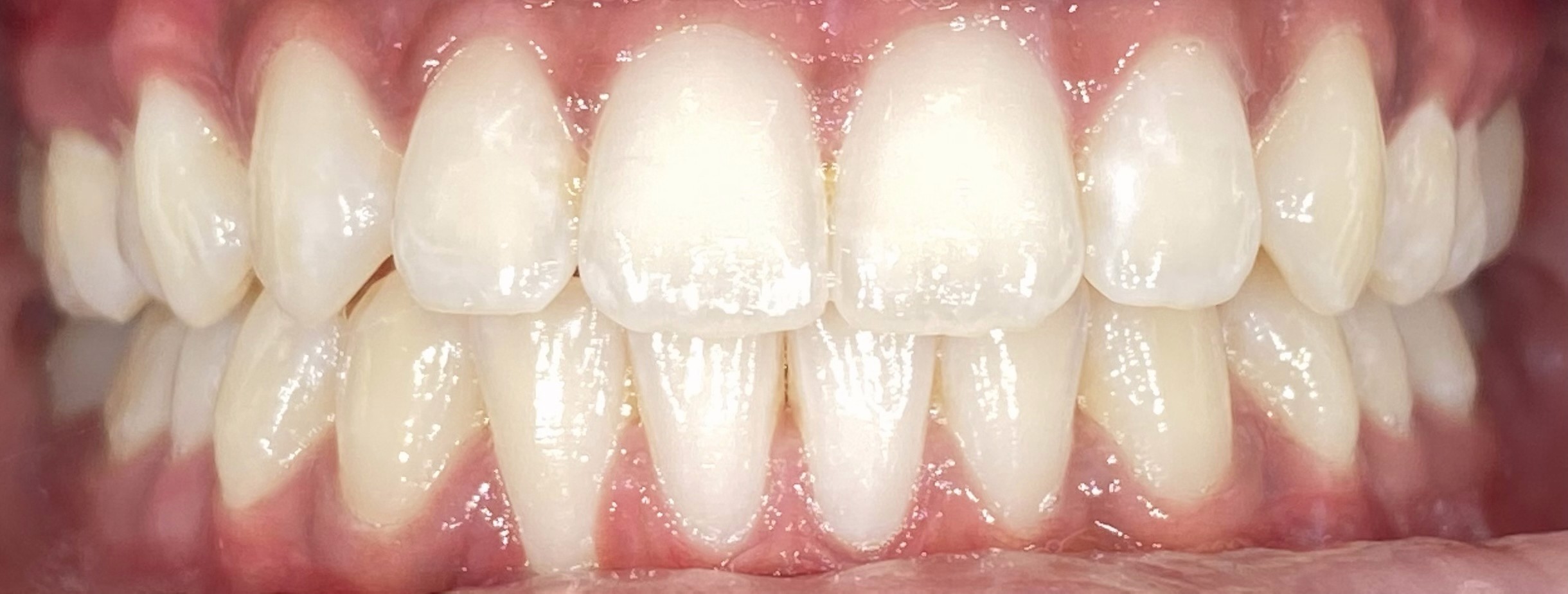
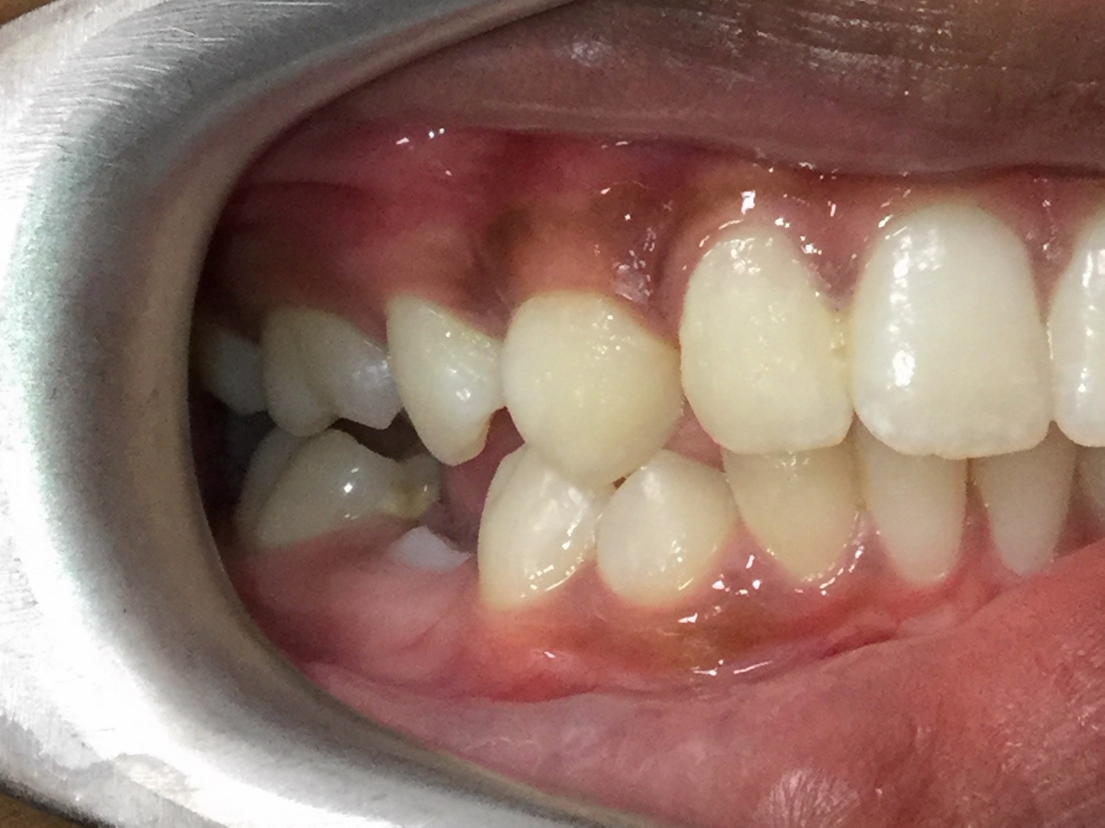
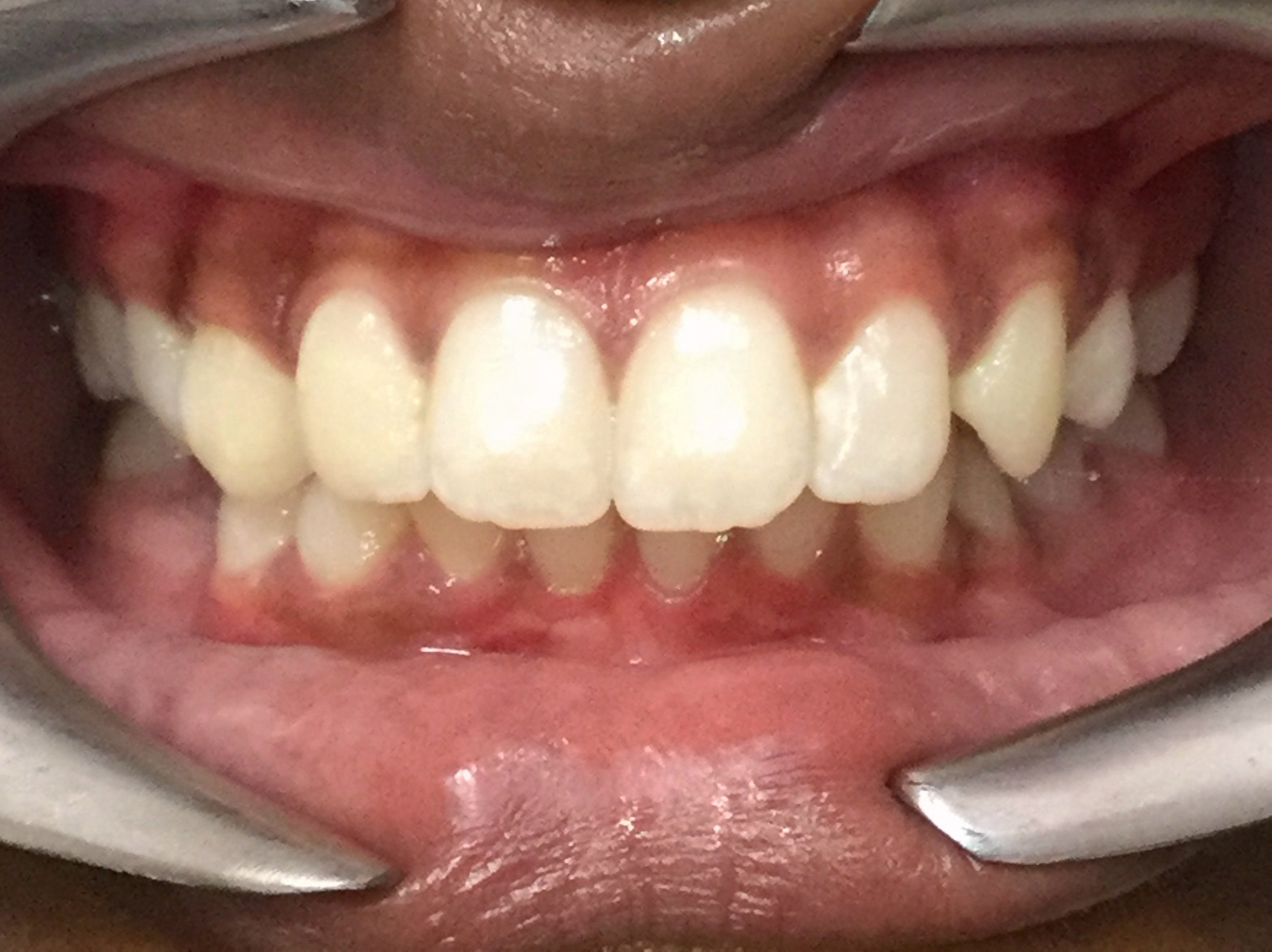
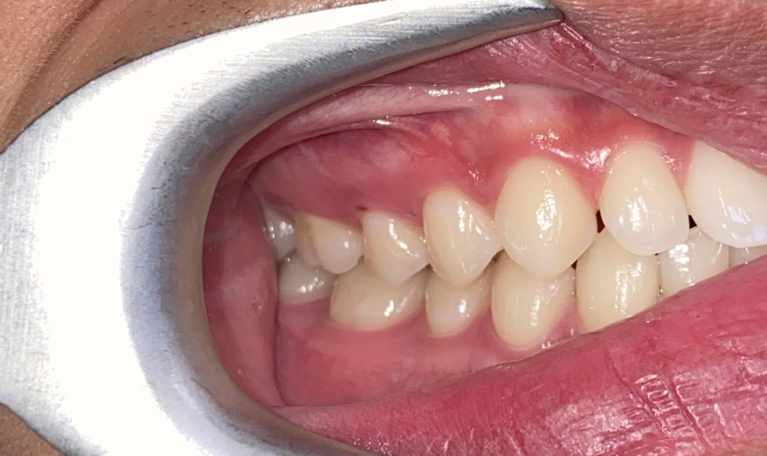
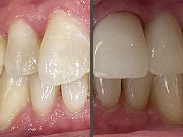
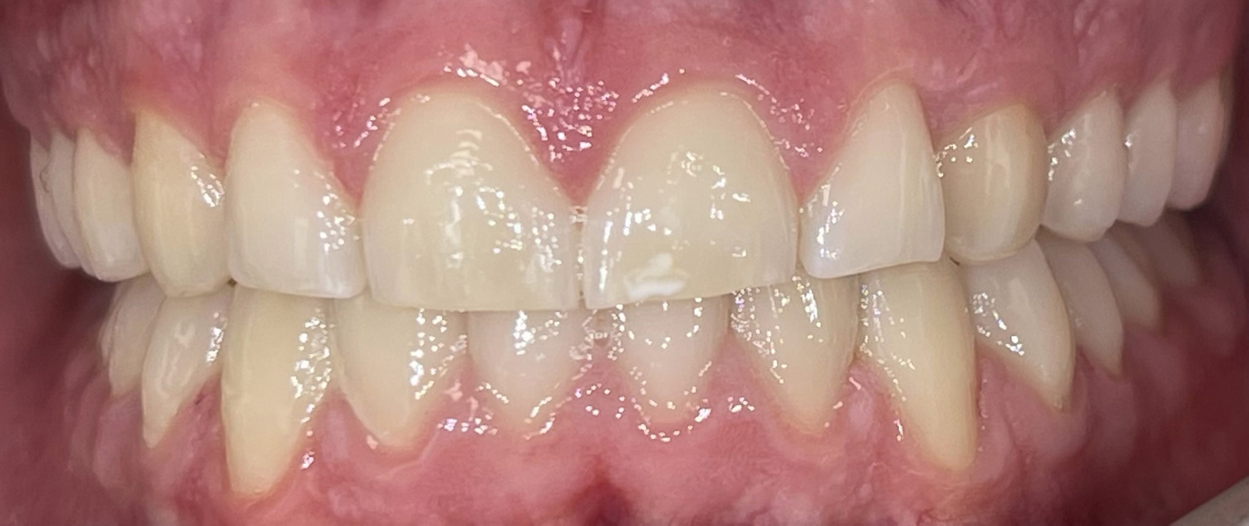
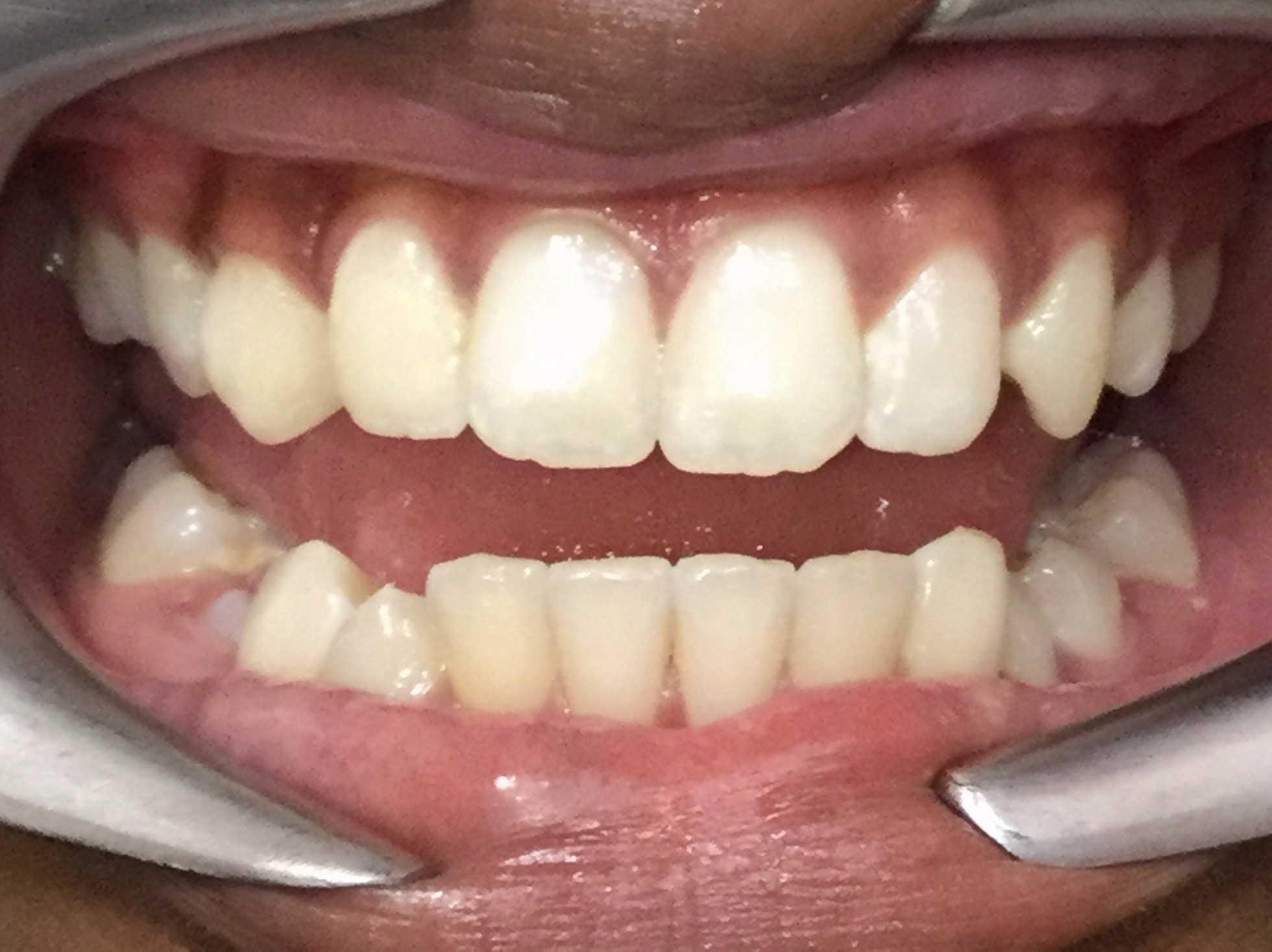
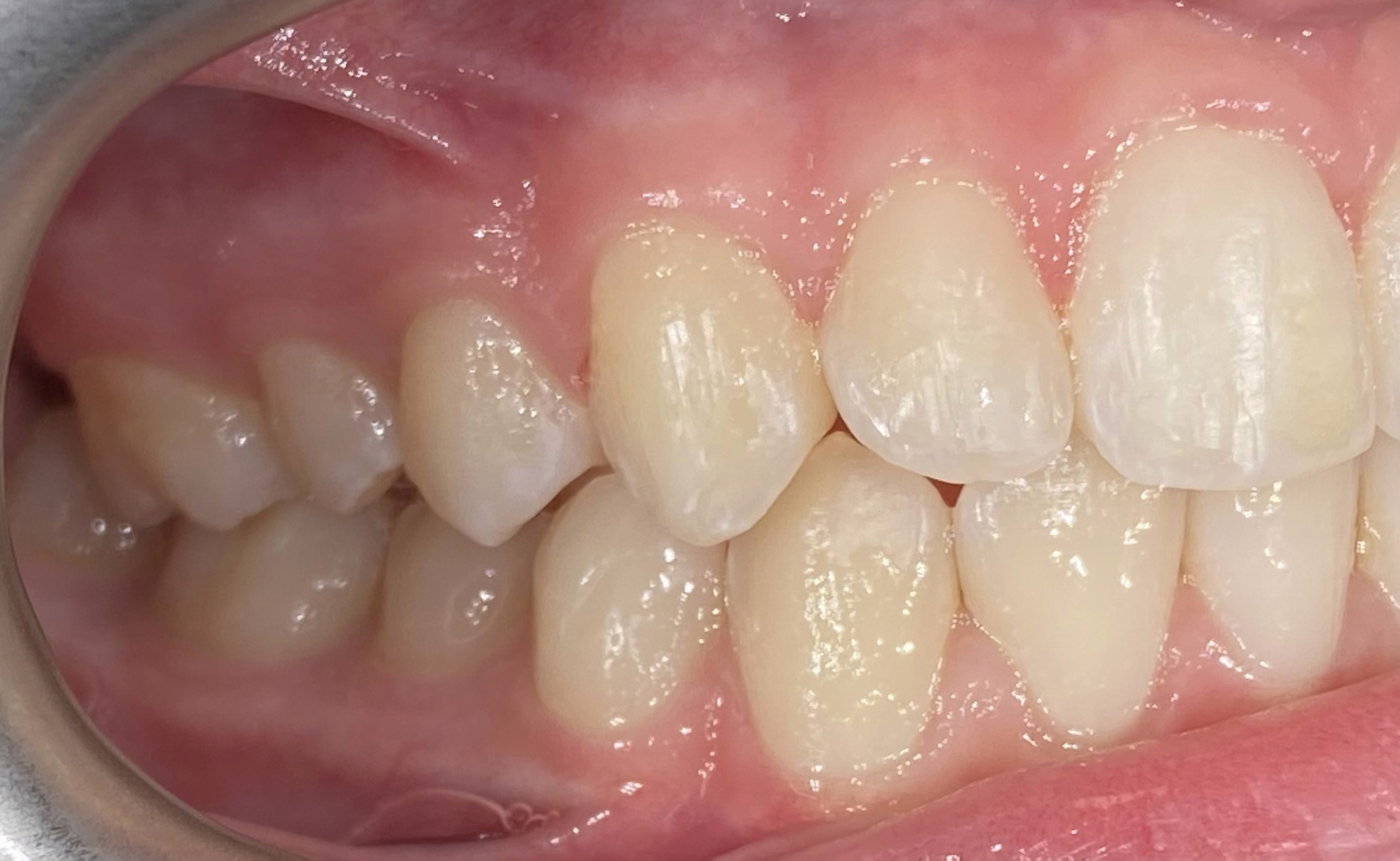
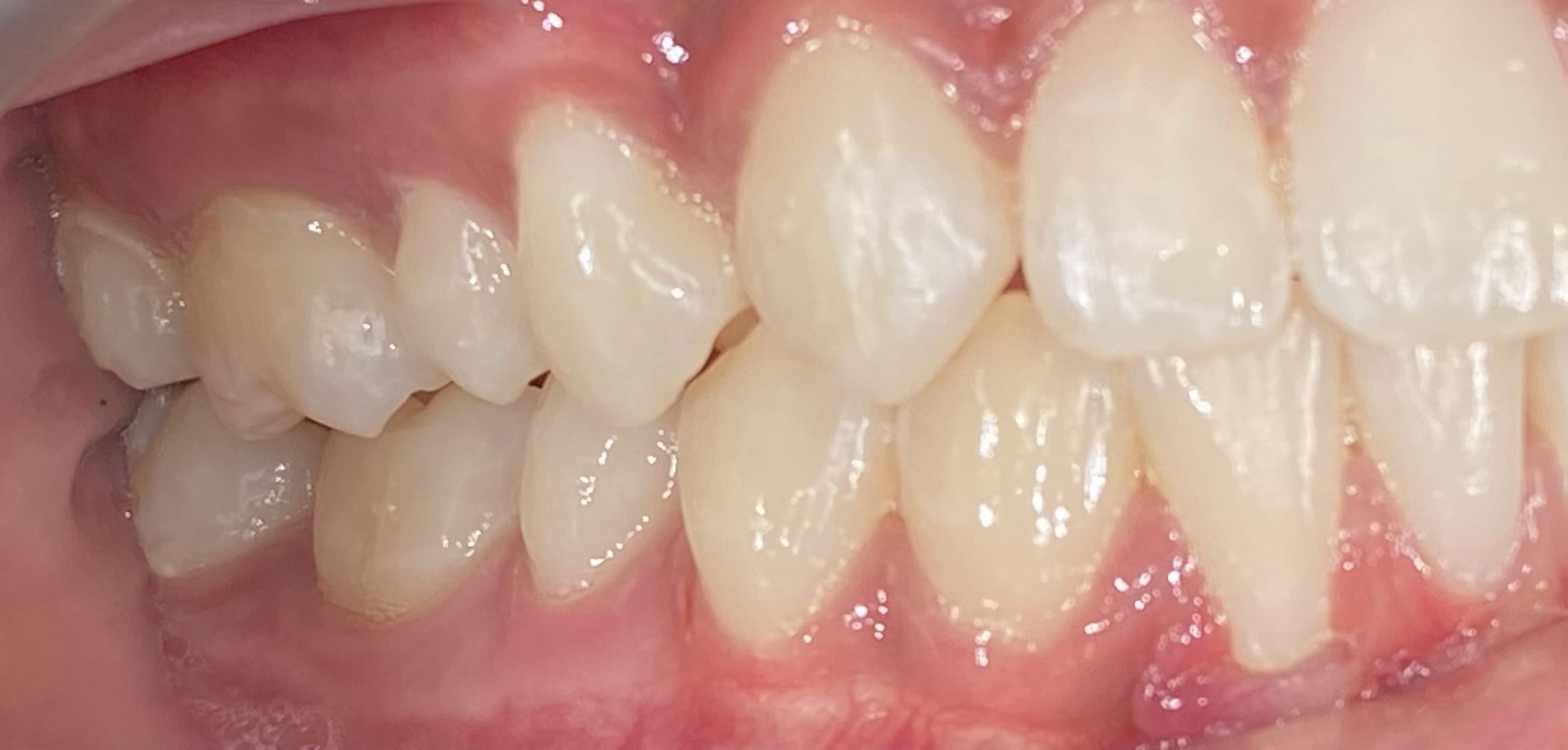
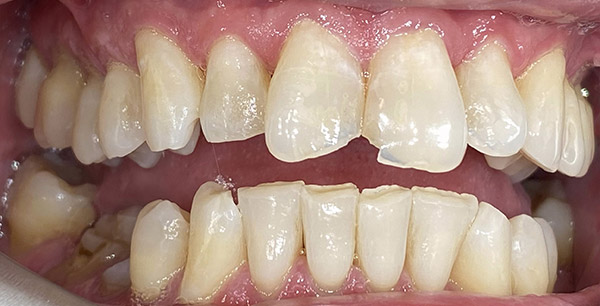
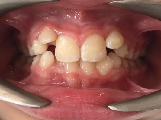
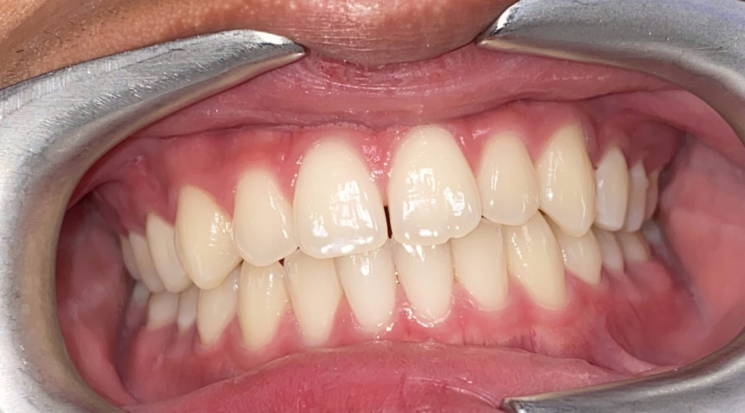
Check out this complete smile makeover 🌠

The patient’s smile was misaligned, and did not match the rest of her lovely appearance. She was ready for a change, and Spy Hill was ready to help! Dr. Kolen created a personalized treatment plan that included both traditional braces and Invisalign to straighten her teeth. Then, Dr. McKee stepped in and added cosmetic bonding on the anterior teeth for a finishing touch to the shape and appearance of her new smile. Now she can’t stop smiling!

View Patient Album
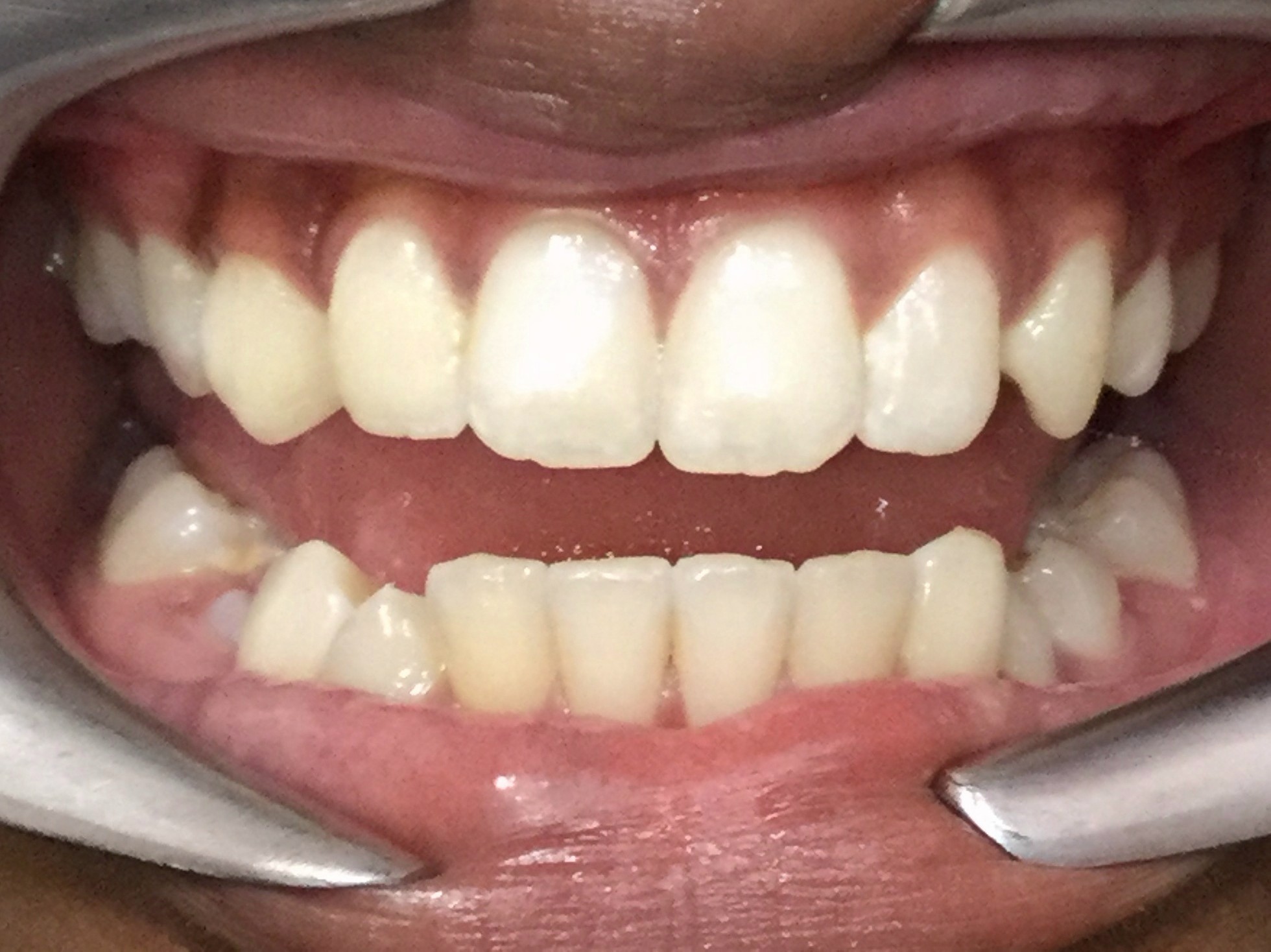
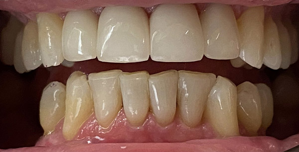
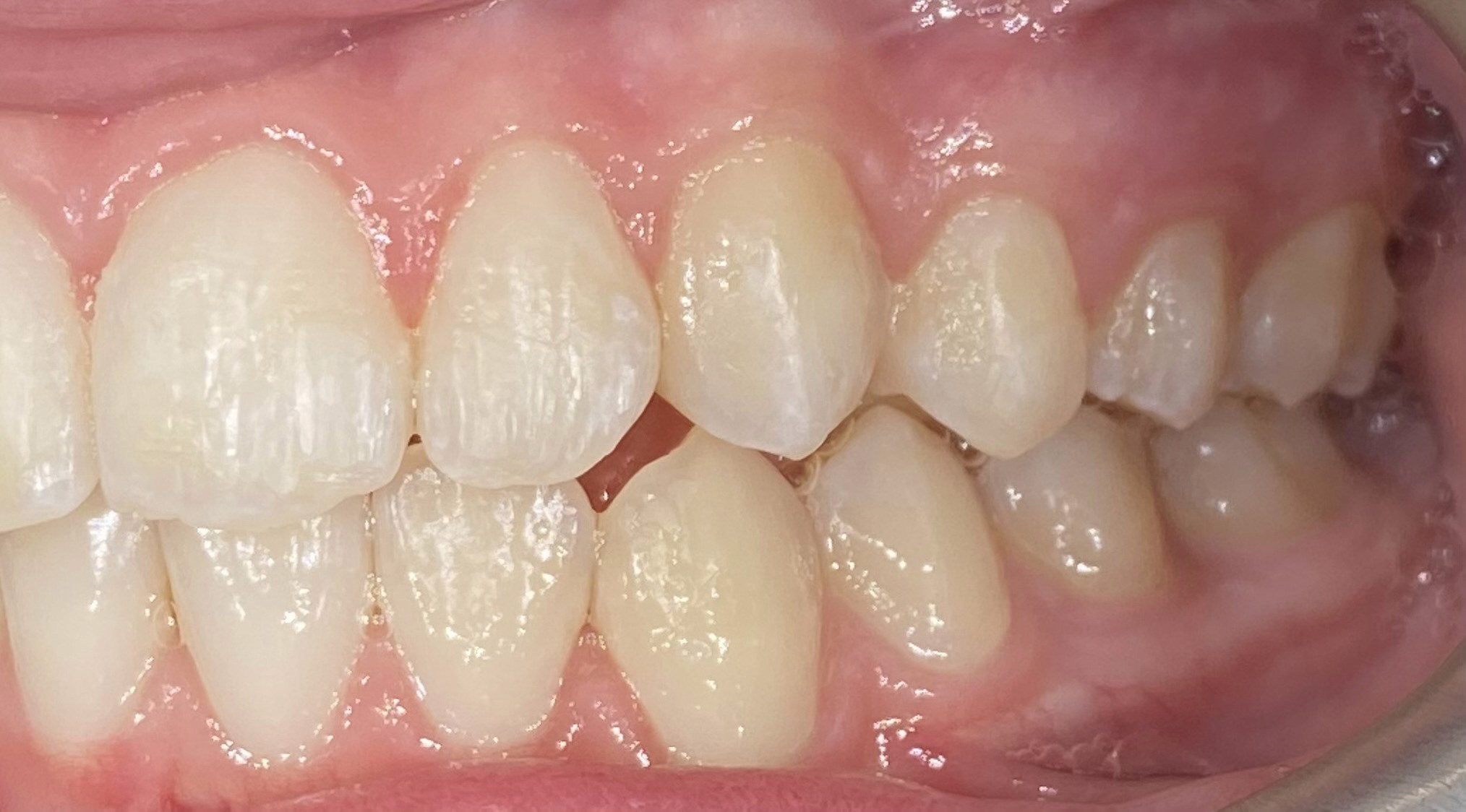
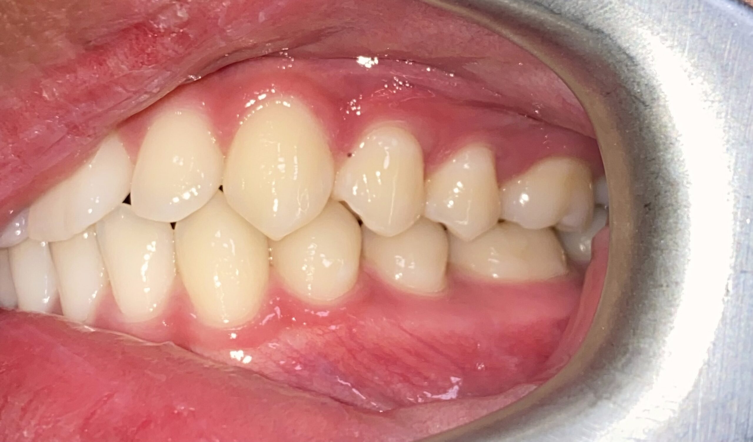
Patient 5 Invisalign and Bonding

All Albums

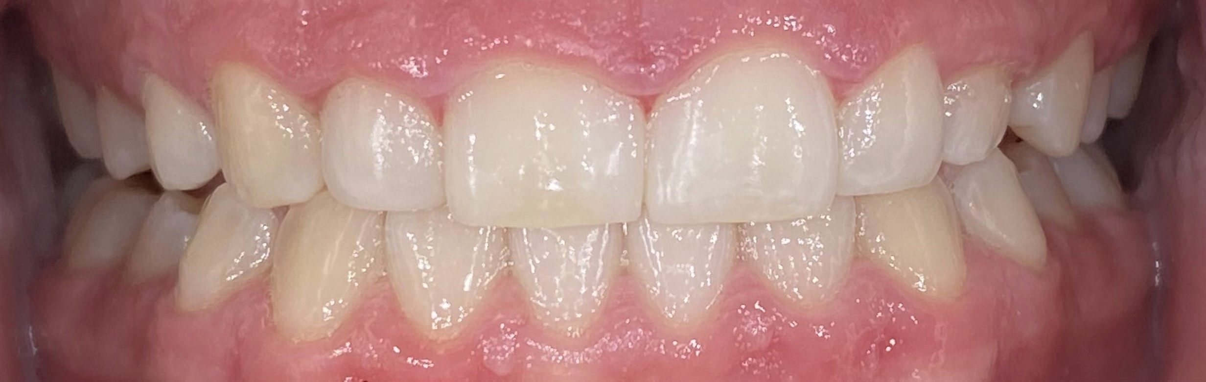
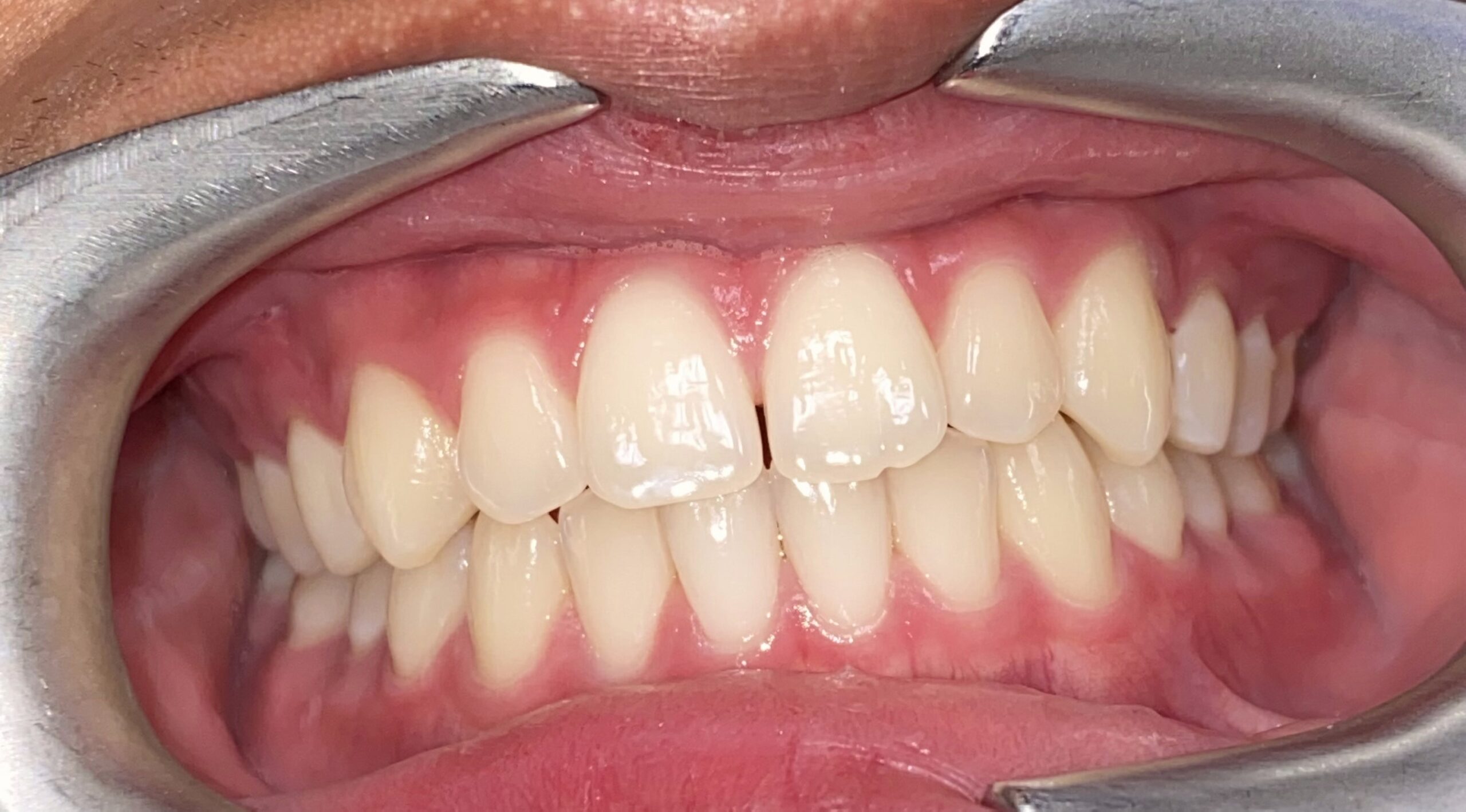
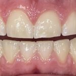
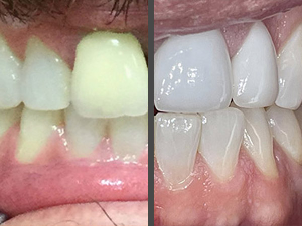
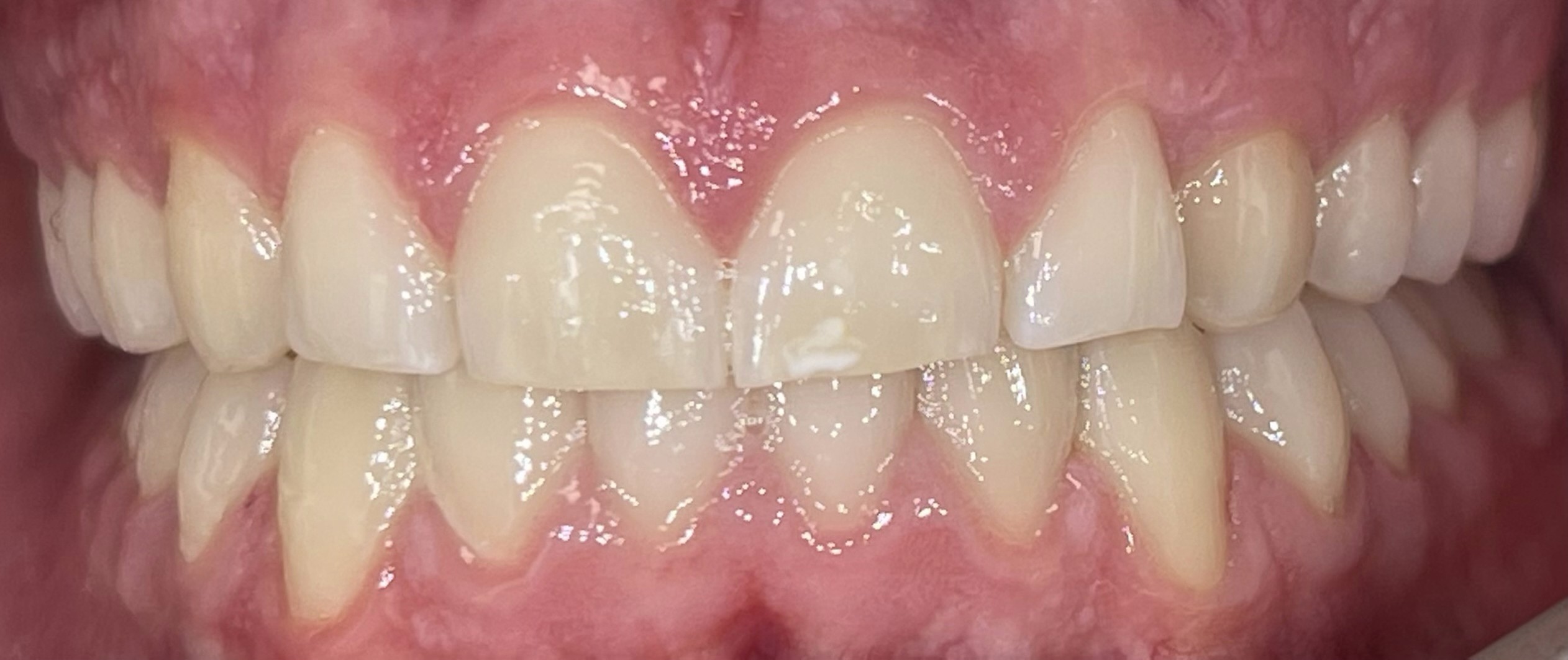
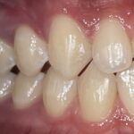
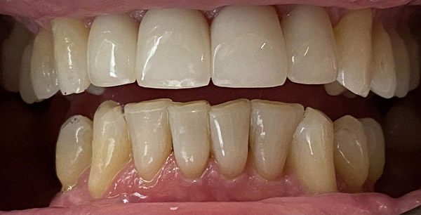
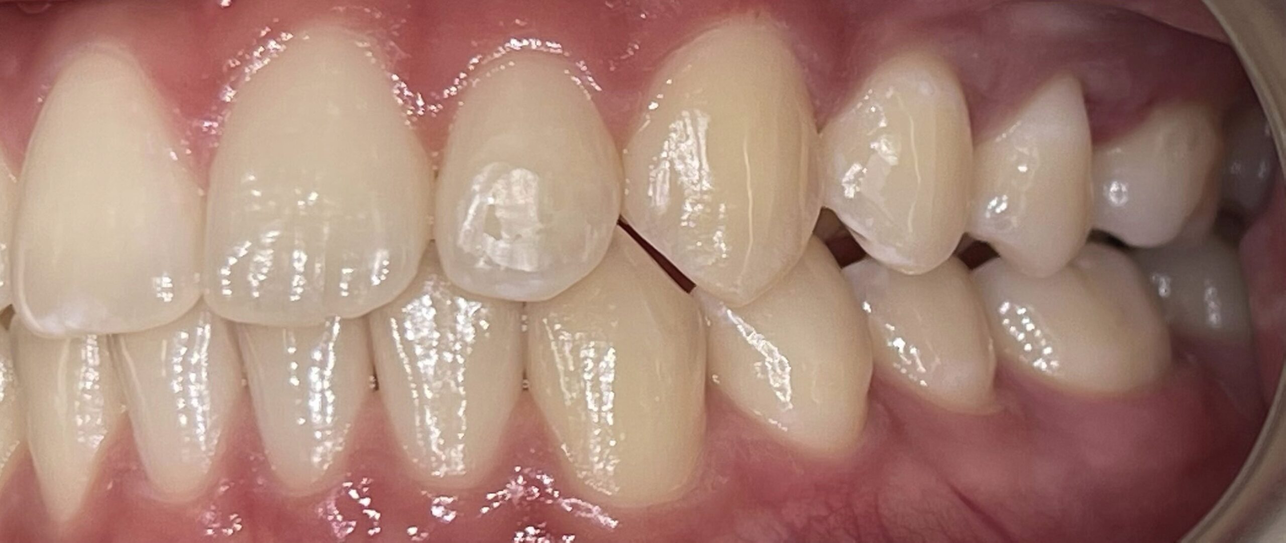
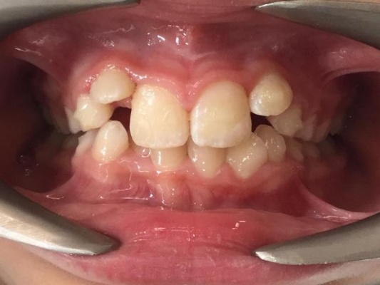
Noah's Straighter Smile in Just 18 Months

A Straighter Smile in Just 18 Months

With Dr. Kolen’s expert care and Invisalign’s step-by-step approach, Noah achieved a perfectly aligned smile in just 1.5 years. His before-and-after images showcase the results of his orthodontic journey, highlighting how Invisalign has helped him achieve a smile he’s excited about.

View Patient Album

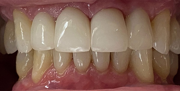
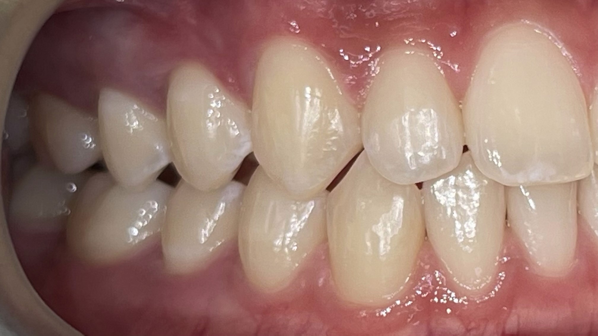
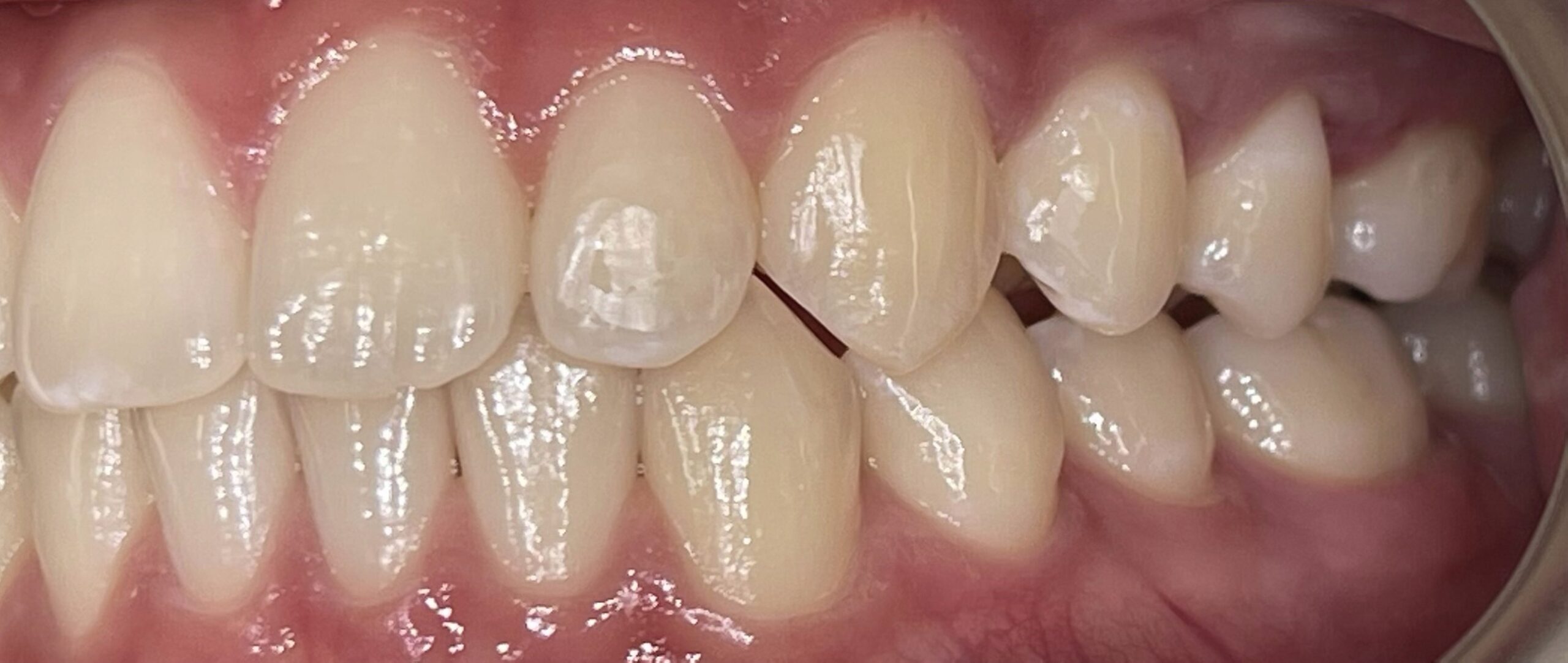
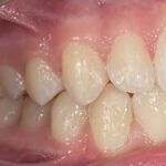
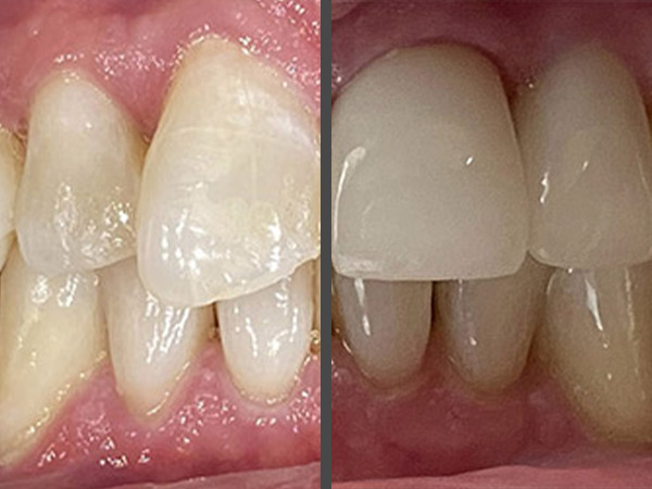
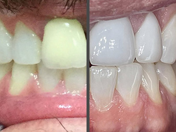
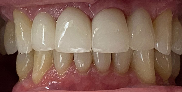
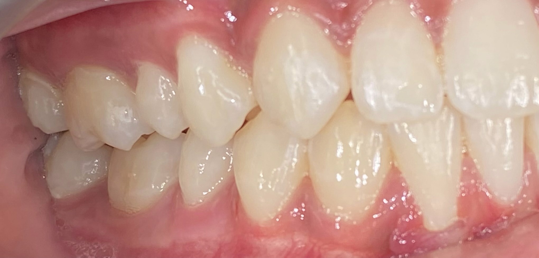
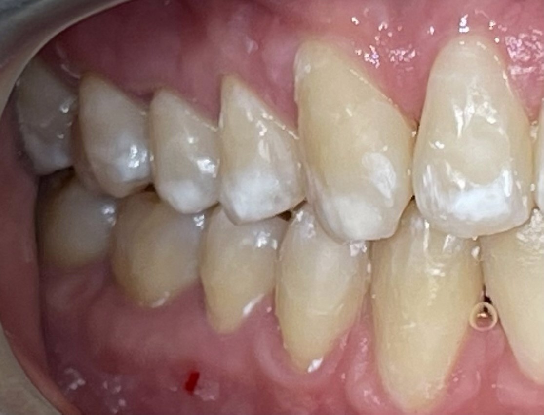
Samuel’s Journey to an Incredible Smile

Samuel began his Invisalign journey with Dr. Kolen in 2019 and completed his treatment in October 2024. His beautifully aligned teeth have given him the confidence to smile freely, and he couldn’t be prouder of the transformation. It’s proof that with expert guidance and the right treatment plan, incredible results are within reach!

View Patient Album
Samuel with Dr. Kolen
Jether-with-Dr-Kolen

From Subtle Shifts to Stunning Results

Jether began Invisalign treatment with Dr. Kolen in May 2023, and by October 2024, his smile was perfectly aligned. The gradual adjustments brought his teeth into balance, giving him a smile he’s proud to share. Another success story made possible with Invisalign’s advanced technology!

View Patient Album