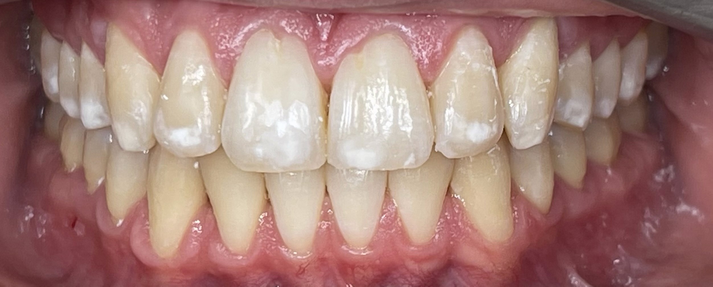
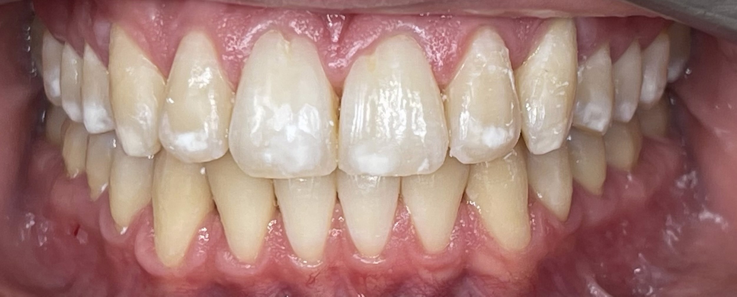
Noah Invisalign BEFORE Dr. Kolen
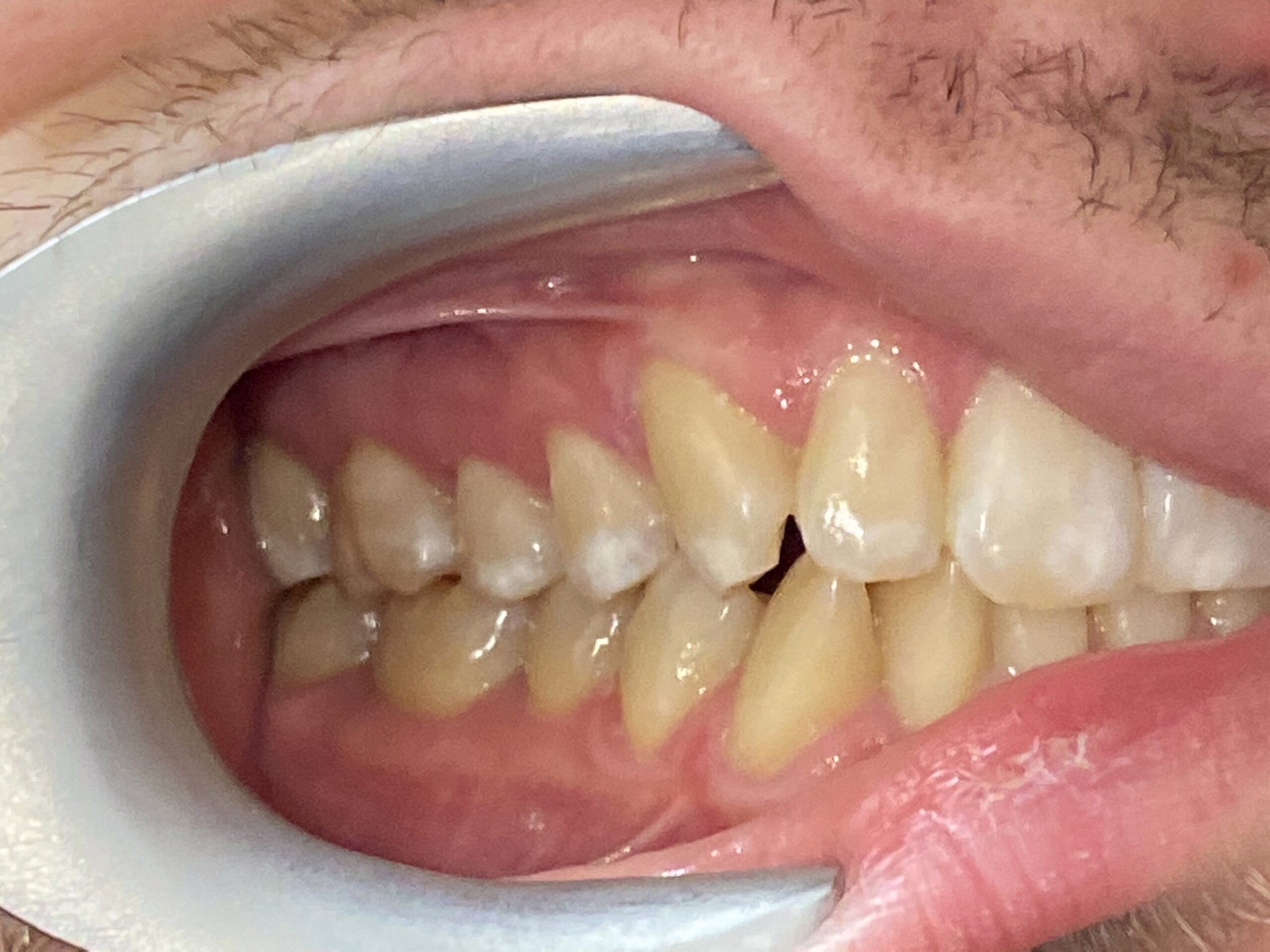
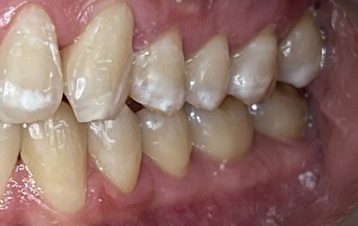
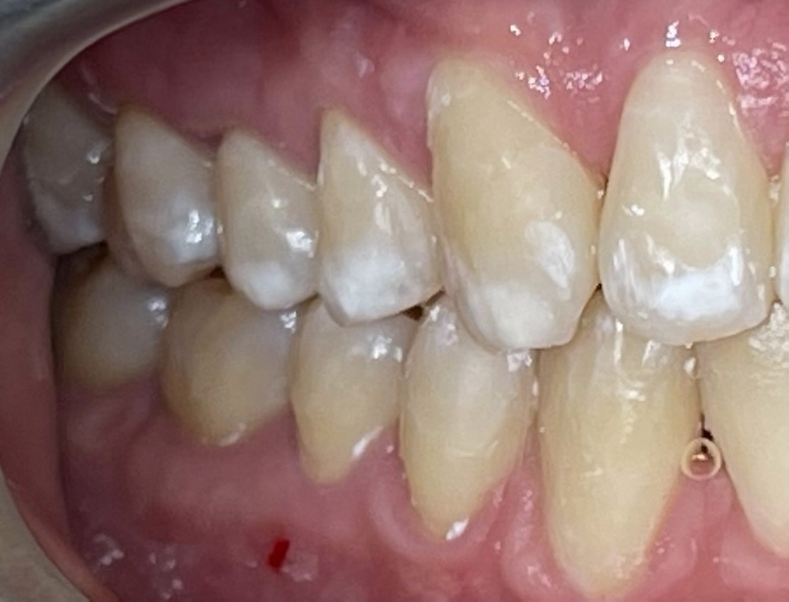
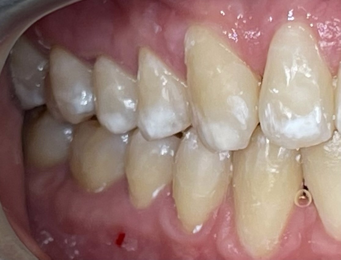
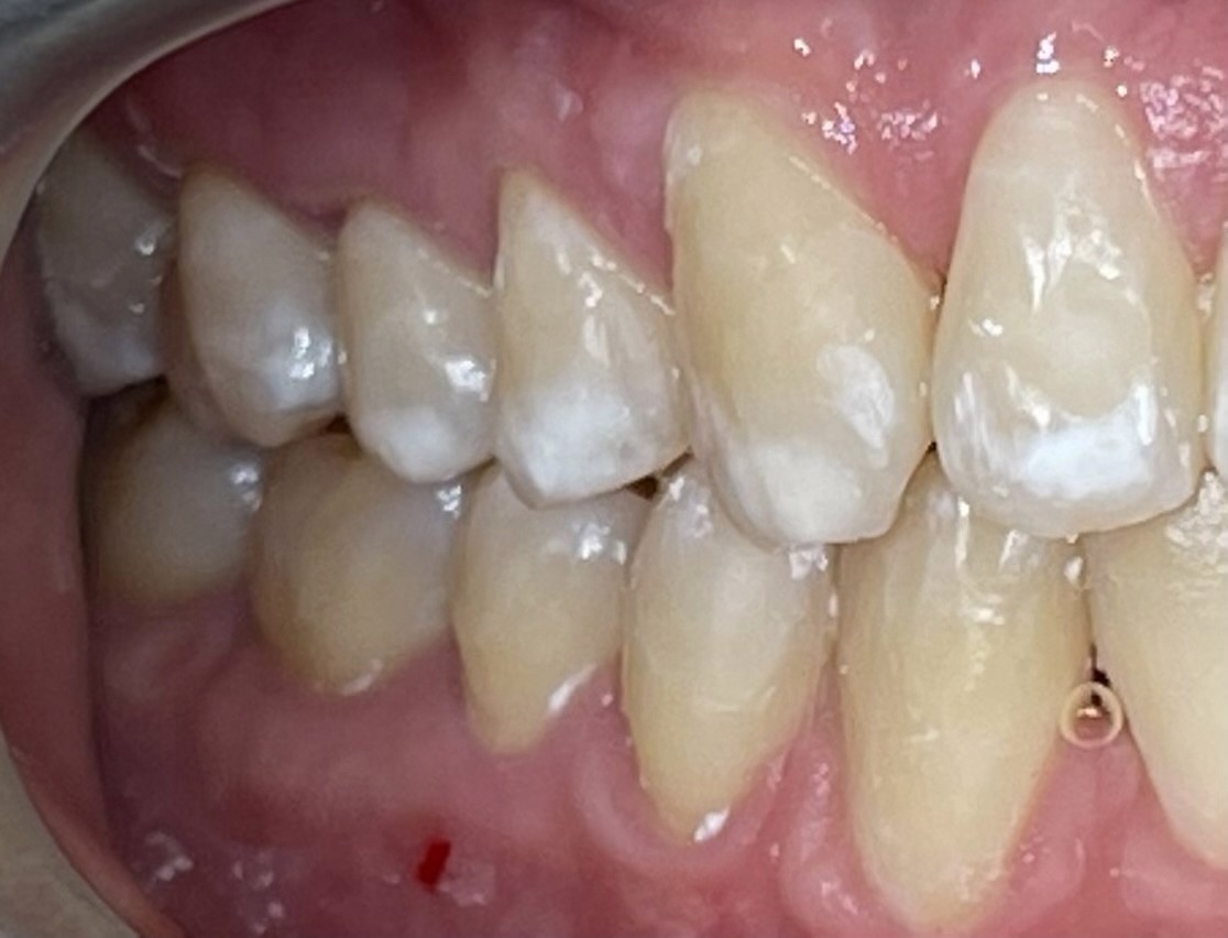
Noah Invisalign BEFORE Right Dr. Kolen
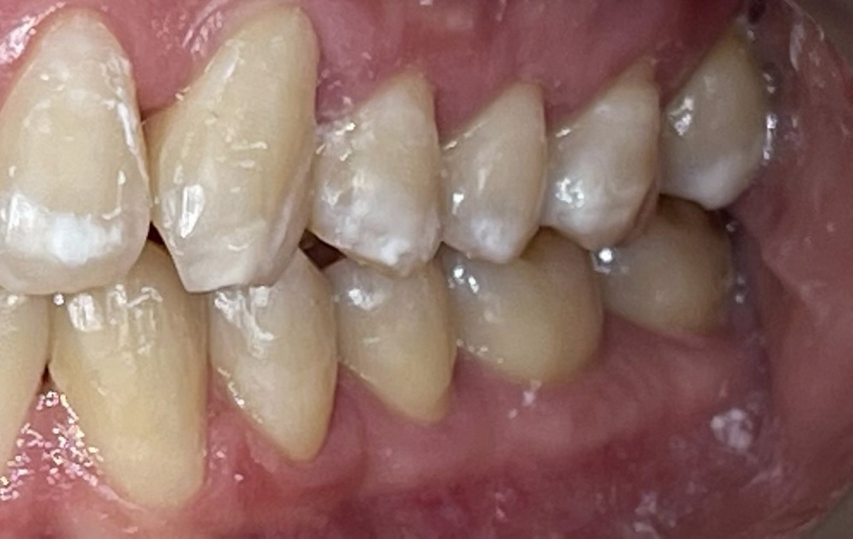
Noah Invisalign BEFORE Left Dr. Kolen
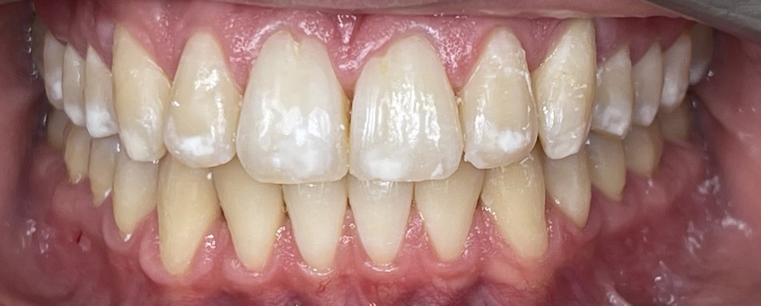
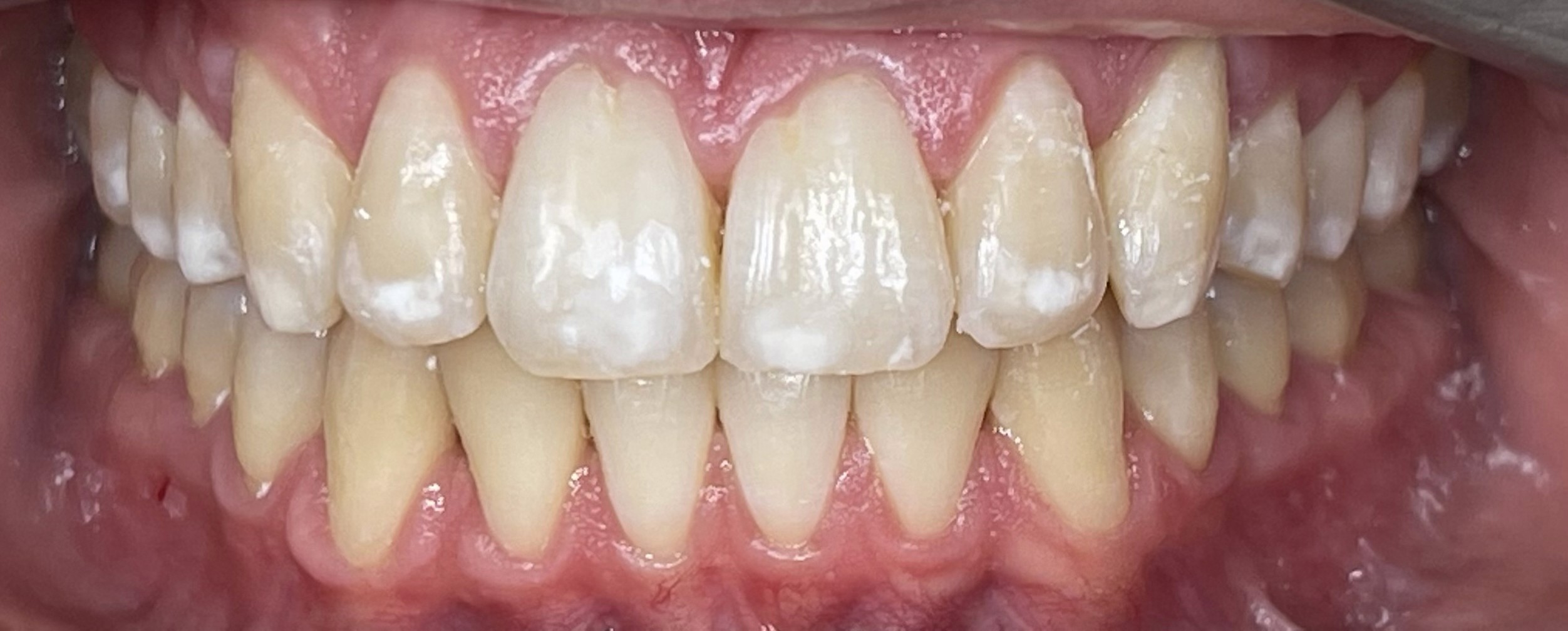
Noah Invisalign AFTER Dr. Kolen
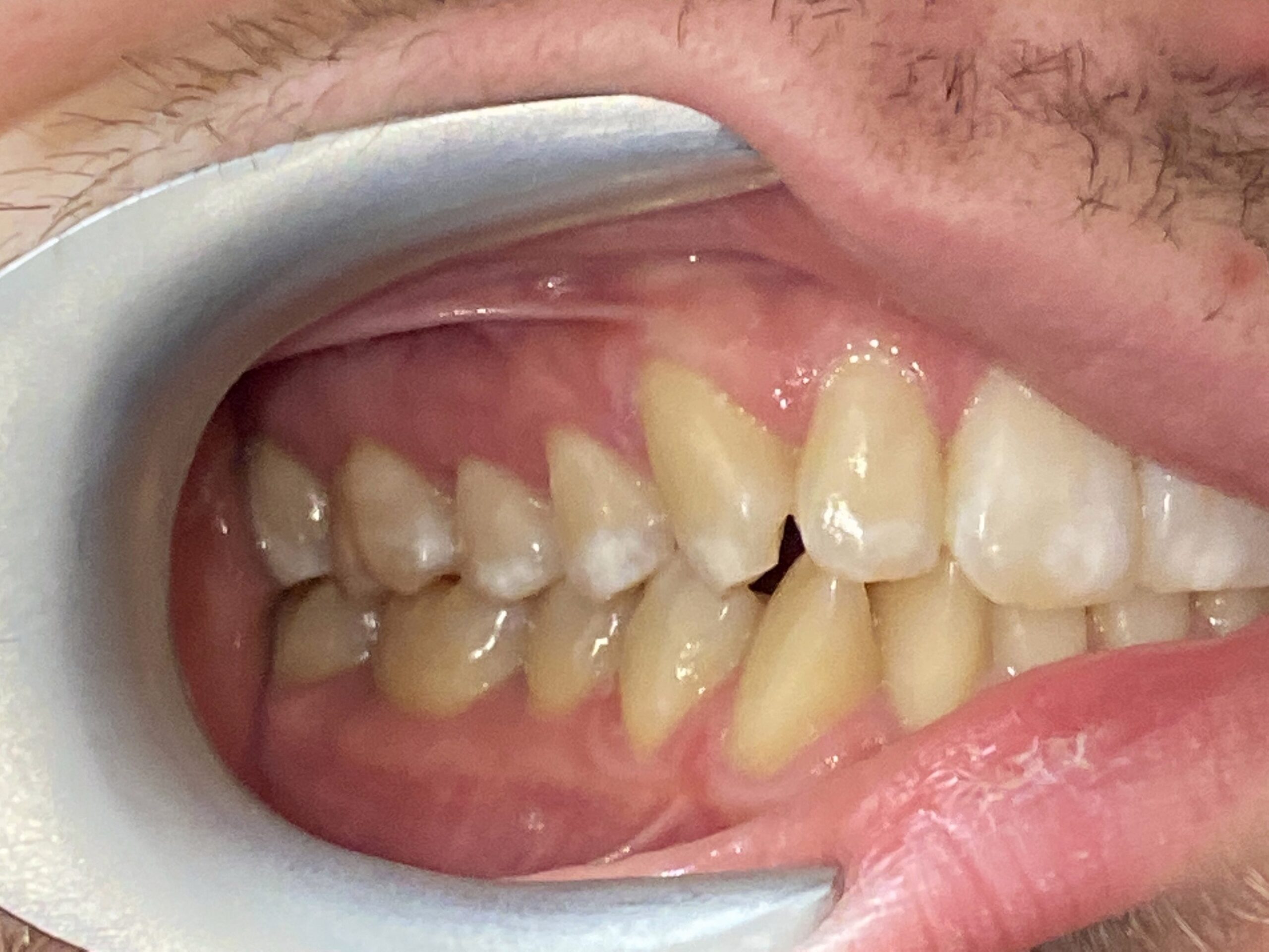
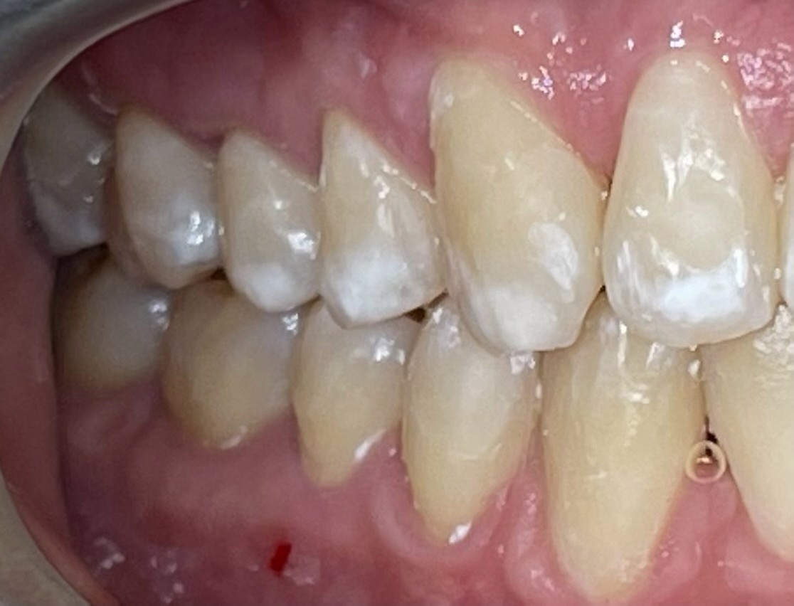
Noah Invisalign AFTER Right Dr. Kolen
Noah Invisalign AFTER Left Dr. Kolen
Invisalign
Invisalign