Samuel After Invisalign
Samuel After Invisalign Left
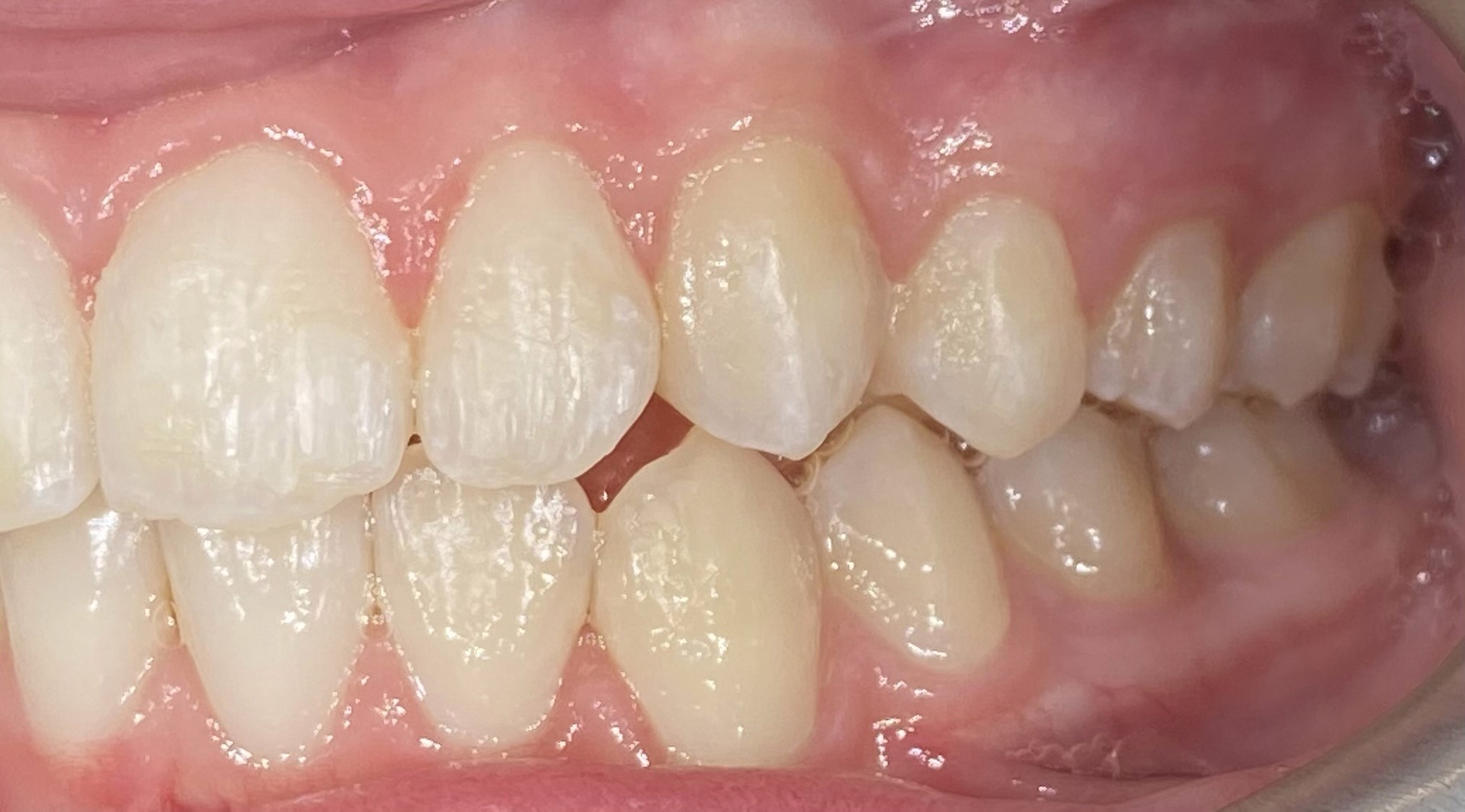
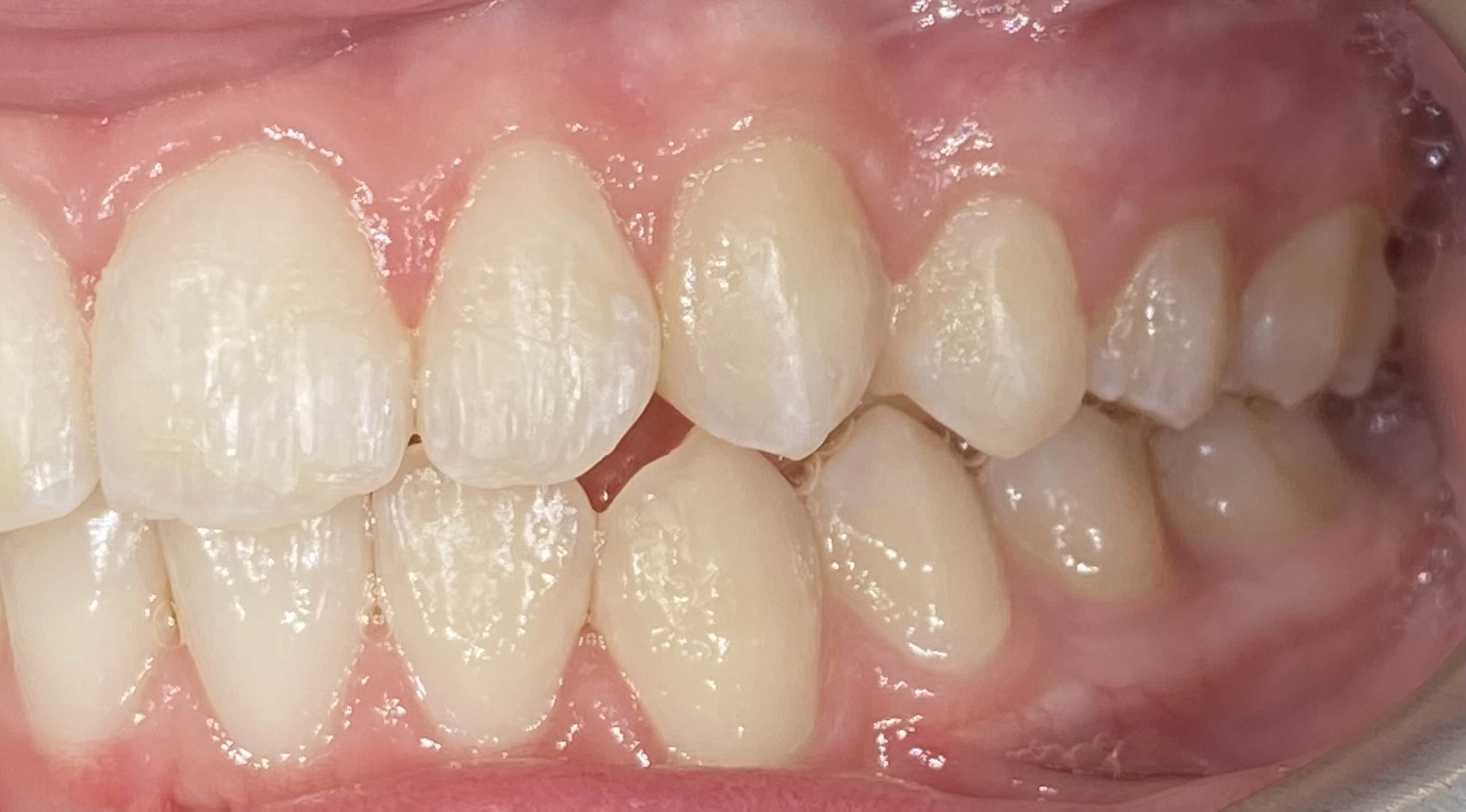
Samuel After Invisalign Right
Samuel After Invisalign Lower
Samuel After Invisalign Upper
Samuel Before Invisalign Front
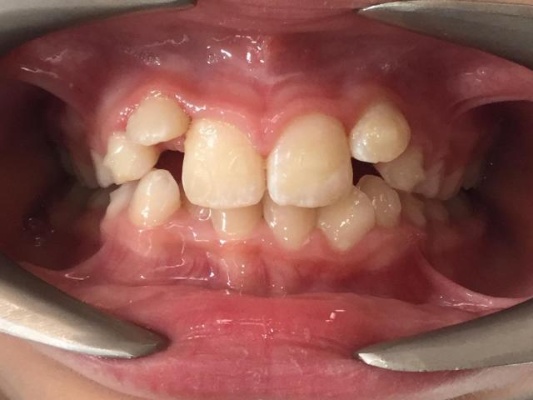
Samuel Before Invisalign Left
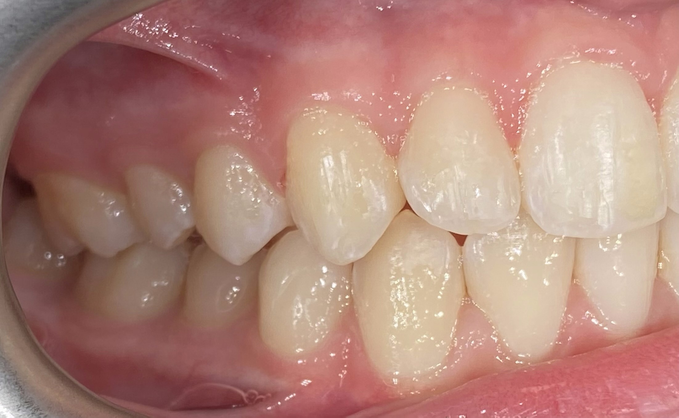
Samuel Before Invisalign Right
Samuel-iTero-Scan
Samuel-iTero-Scan-2
Samuel-iTero-Scan-3
Invisalign

