Skip to content
Spy Hill Dental Clinic
Spy Hill Dental ClinicSpy Hill Dental Clinic
  • Home
  • About
    • Dr. Richard Kolen
    • Dr. Aaron McKee
    • Dr. Zhendan Pan
    • Our Team
    • Financial Policy
    • Smile Gallery
    • Frequently Asked Questions
    • Canadian Dental Care Plan
  • Services
    • Braces
    • Bridges
    • Cosmetic Dentistry
      • Botox
      • Porcelain Veneers
      • Teeth Whitening
    • Crowns
    • Dental Examination & Dental Hygiene
    • Dental Implants
    • Gum (Periodontal) Disease
    • Invisalign
    • Mouth Guards
    • Root Canal
    • Same-Day Emergency Dentist
    • TMD
  • Blog
  • Contact
  • Request an Appointment
1-403-241-2961
  • Home
  • About
    • Dr. Richard Kolen
    • Dr. Aaron McKee
    • Dr. Zhendan Pan
    • Our Team
    • Financial Policy
    • Smile Gallery
    • Frequently Asked Questions
    • Canadian Dental Care Plan
  • Services
    • Braces
    • Bridges
    • Cosmetic Dentistry
      • Botox
      • Porcelain Veneers
      • Teeth Whitening
    • Crowns
    • Dental Examination & Dental Hygiene
    • Dental Implants
    • Gum (Periodontal) Disease
    • Invisalign
    • Mouth Guards
    • Root Canal
    • Same-Day Emergency Dentist
    • TMD
  • Blog
  • Contact
  • Request an Appointment

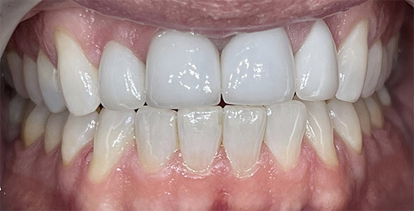
Patient 2 – Anterior Crowns, Grafting and Whitening

You are here:
  1. Home
  2. Photo Album
  3. Patient 2 – Anterior Crowns,…

BEFORE

AFTER

Album navigation

PreviousPrevious album:Patient 1 – Anterior CrownsNextNext album:Patient 3 – Invisalign
Spy Hill Dental Clinic Logo - Go to Home Page
Request an Appointment
Contact
1-403-241-2961
15 Royal Vista Pl NW #110
Calgary, AB T3R 0P3
Email: info@spyhilldental.ca

Find us on:

Facebook page opens in new windowYouTube page opens in new windowInstagram page opens in new window
Navigate
  • Home
  • About
  • Services
  • Blog
  • Contact
Hours
Monday 8:00 AM - 3:00 PM
Tuesday 10:00 AM - 5:00 PM
Wednesday 10:00 AM - 5:00 PM
Thursday 8:00 AM - 3:00 PM
Friday 8:00 AM - 3:00 PM
Sat & Sun Closed
Copyright © 2025  -  Spy Hill Dental Clinic - NW Calgary, AB - All Rights Reserved - Powered by MyDentalAgency.com
Go to Top
Skip to content
Open toolbar Accessibility Tools

Accessibility Tools

  • Increase TextIncrease Text
  • Decrease TextDecrease Text
  • GrayscaleGrayscale
  • High ContrastHigh Contrast
  • Negative ContrastNegative Contrast
  • Light BackgroundLight Background
  • Links UnderlineLinks Underline
  • Readable FontReadable Font
  • Reset Reset

Terms and Conditions - Privacy Policy