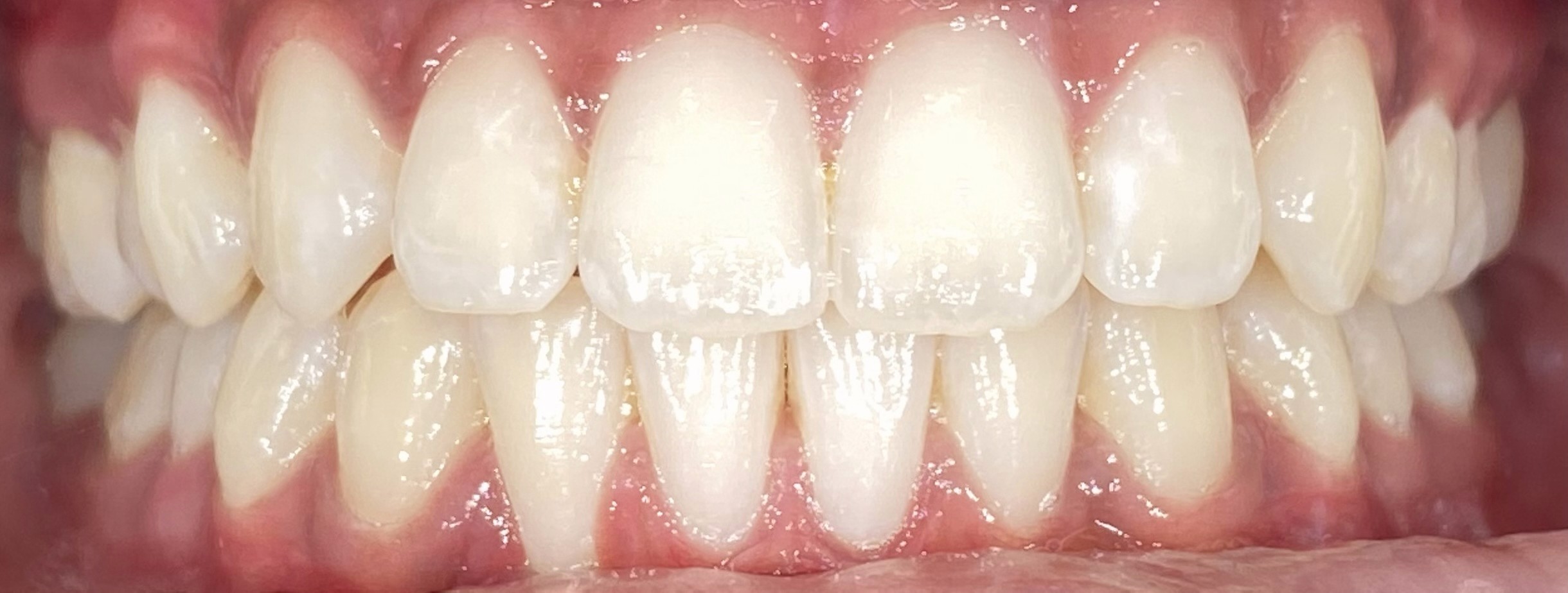
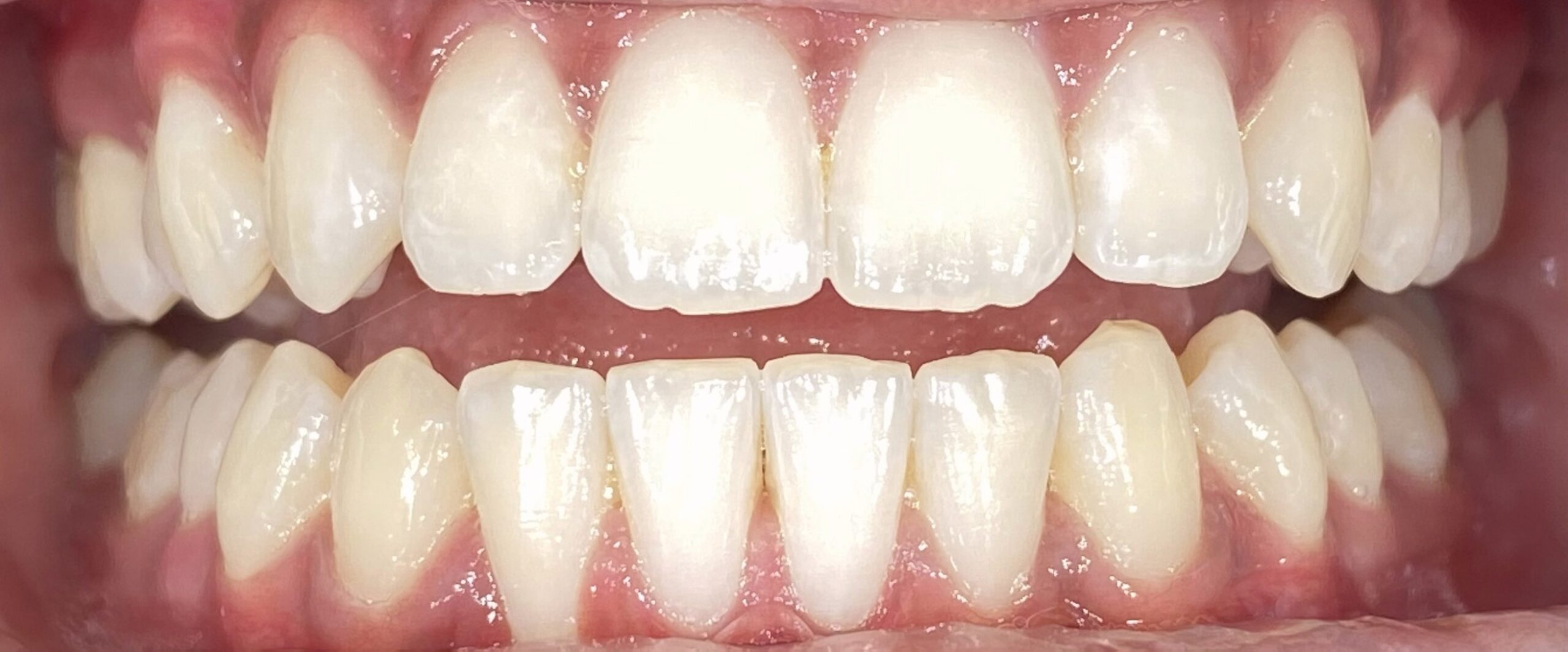
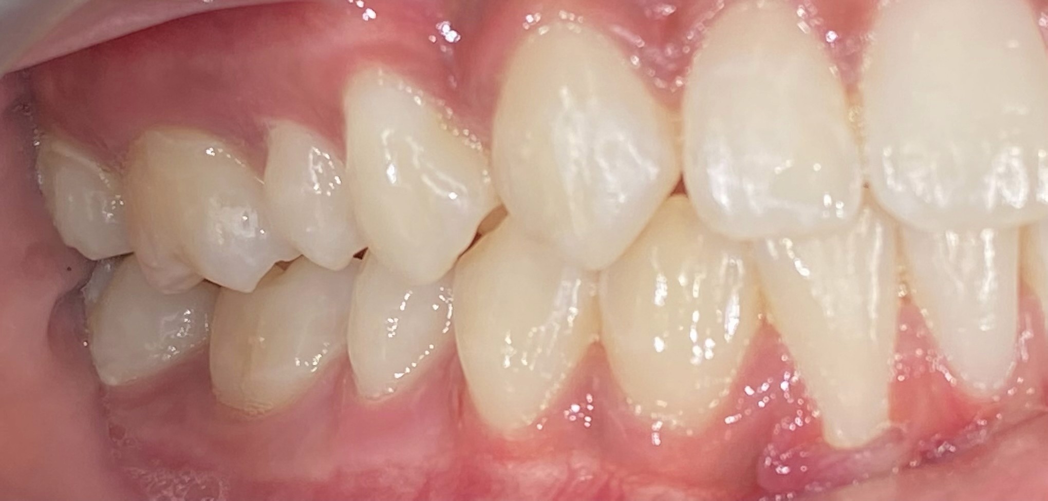
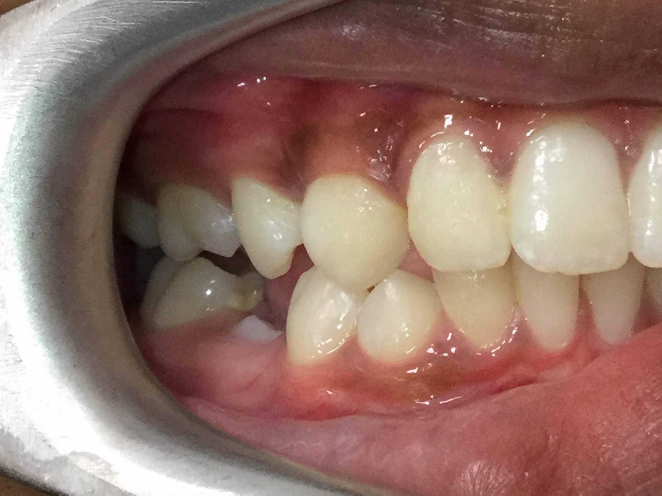
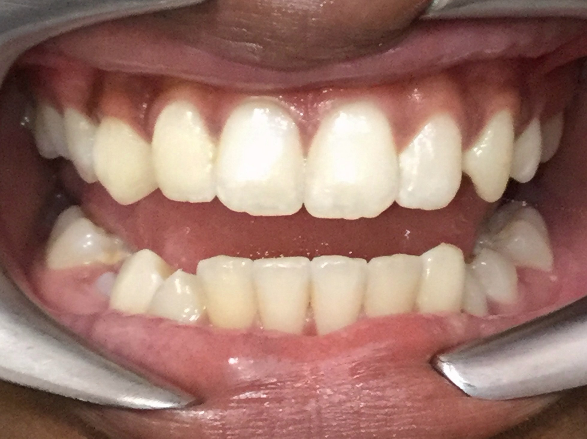
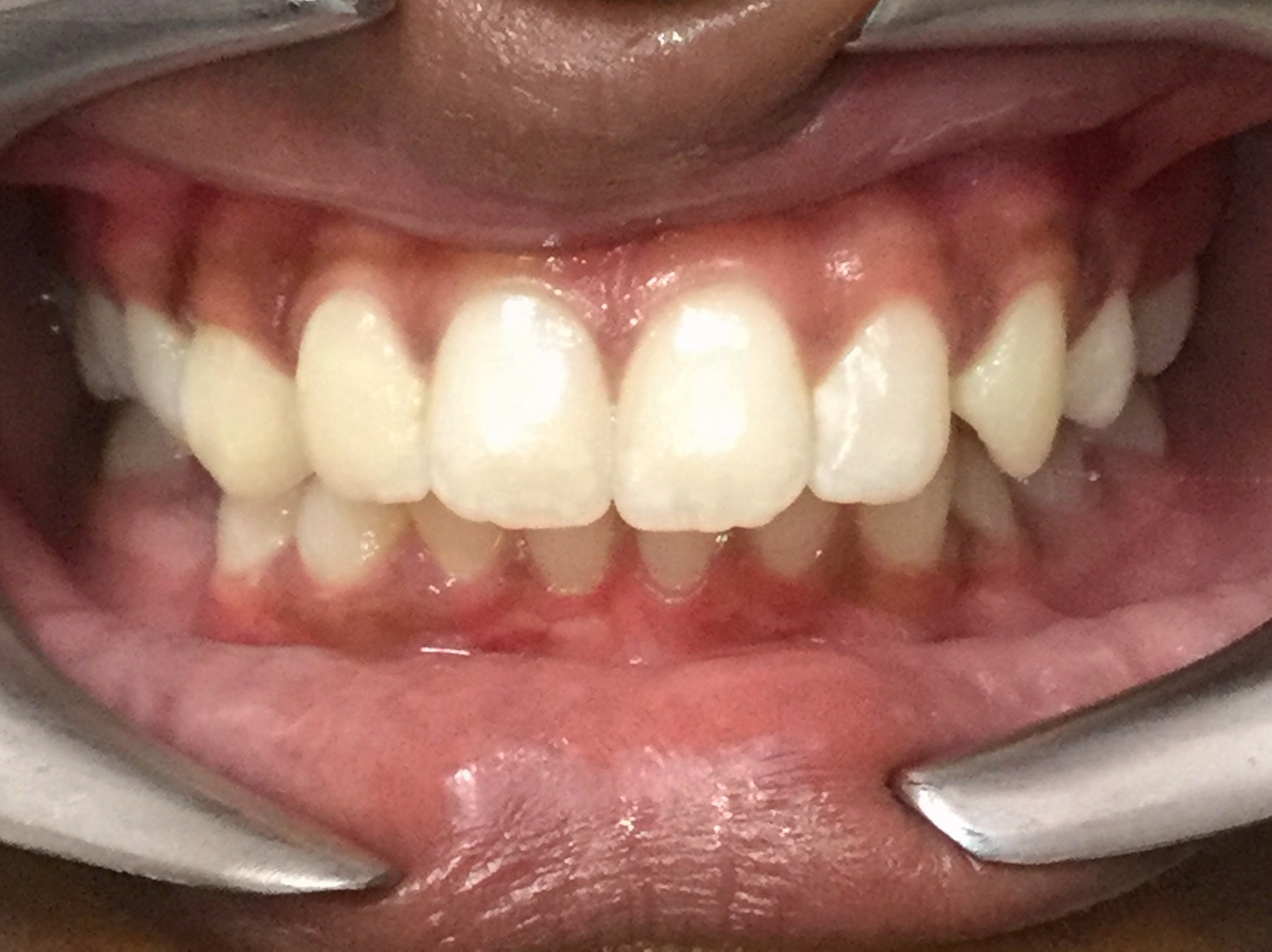
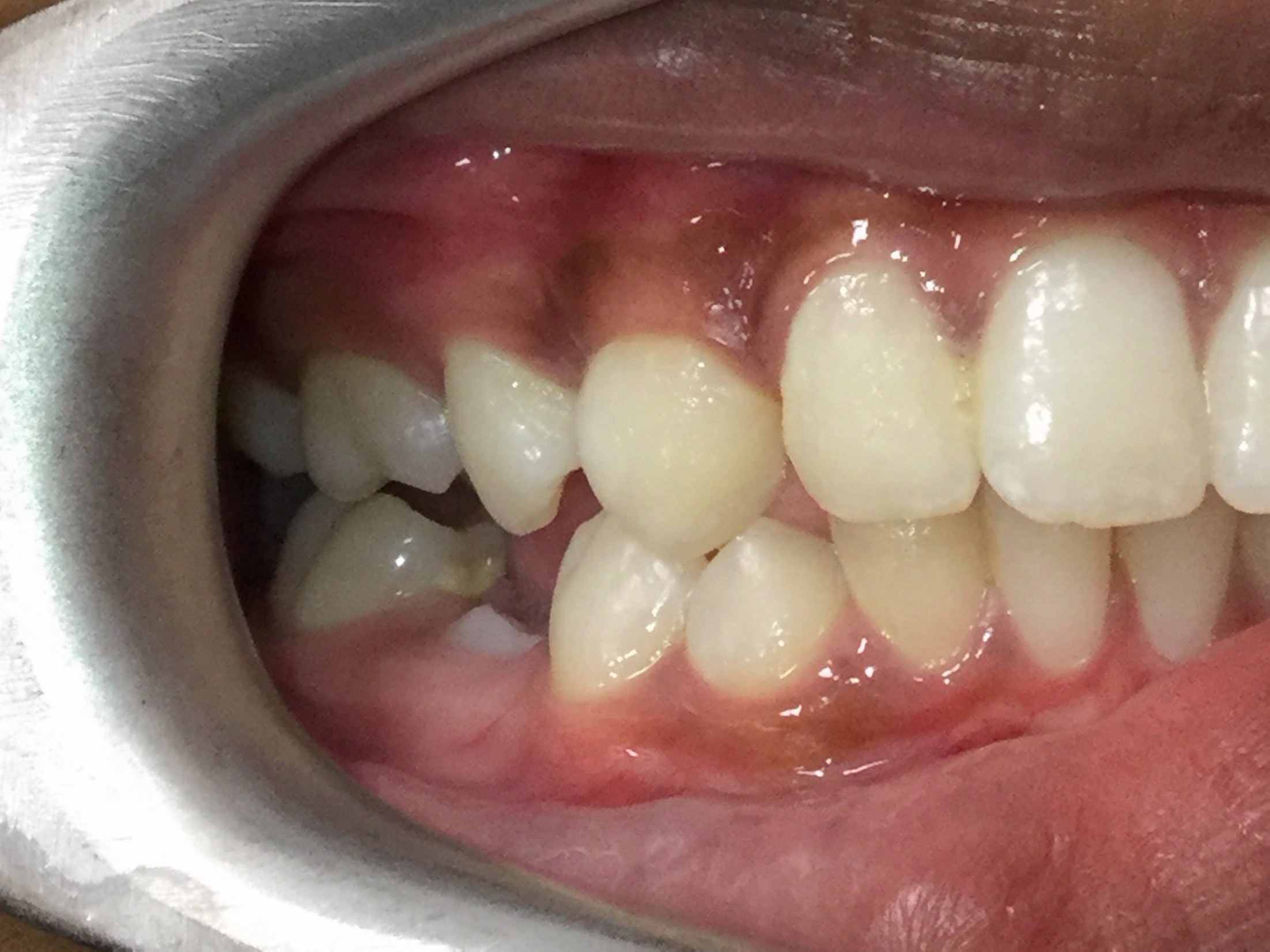
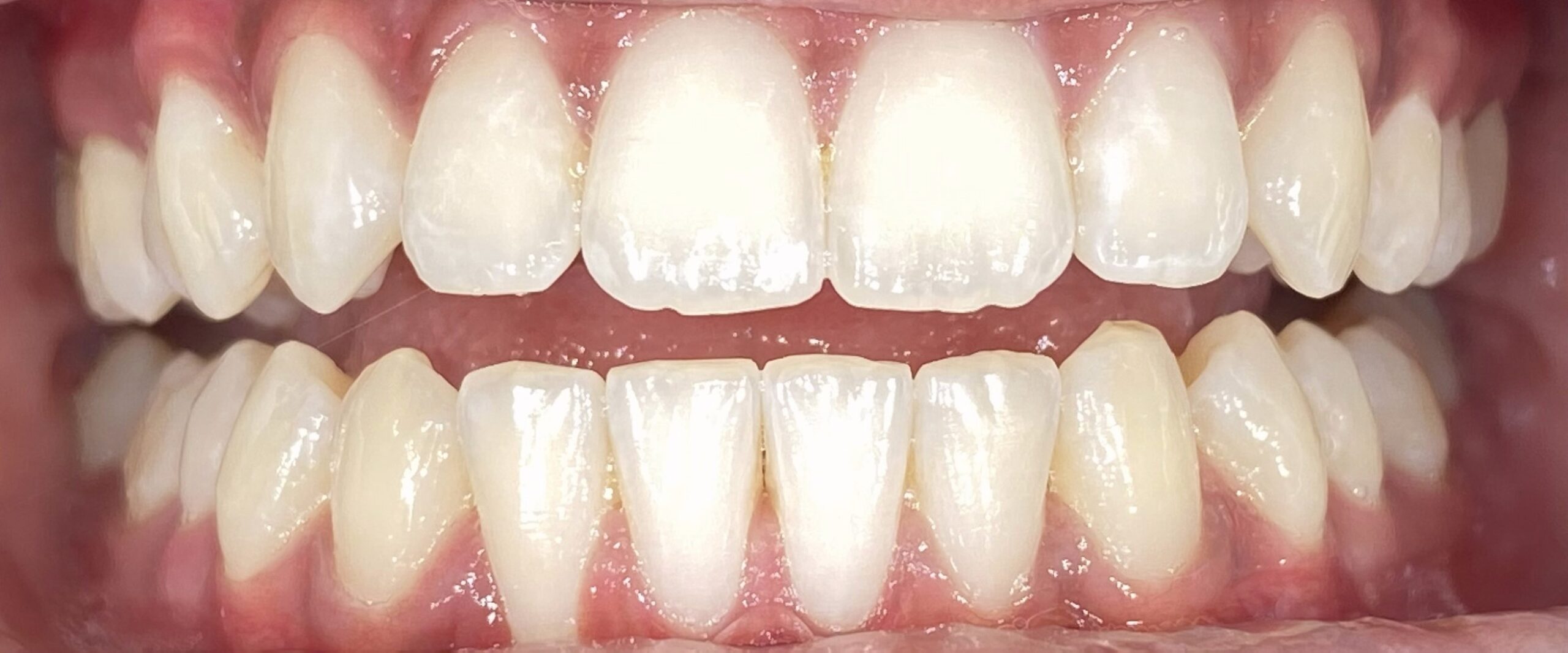
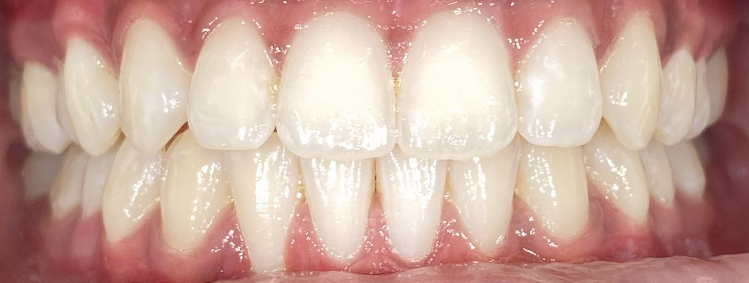
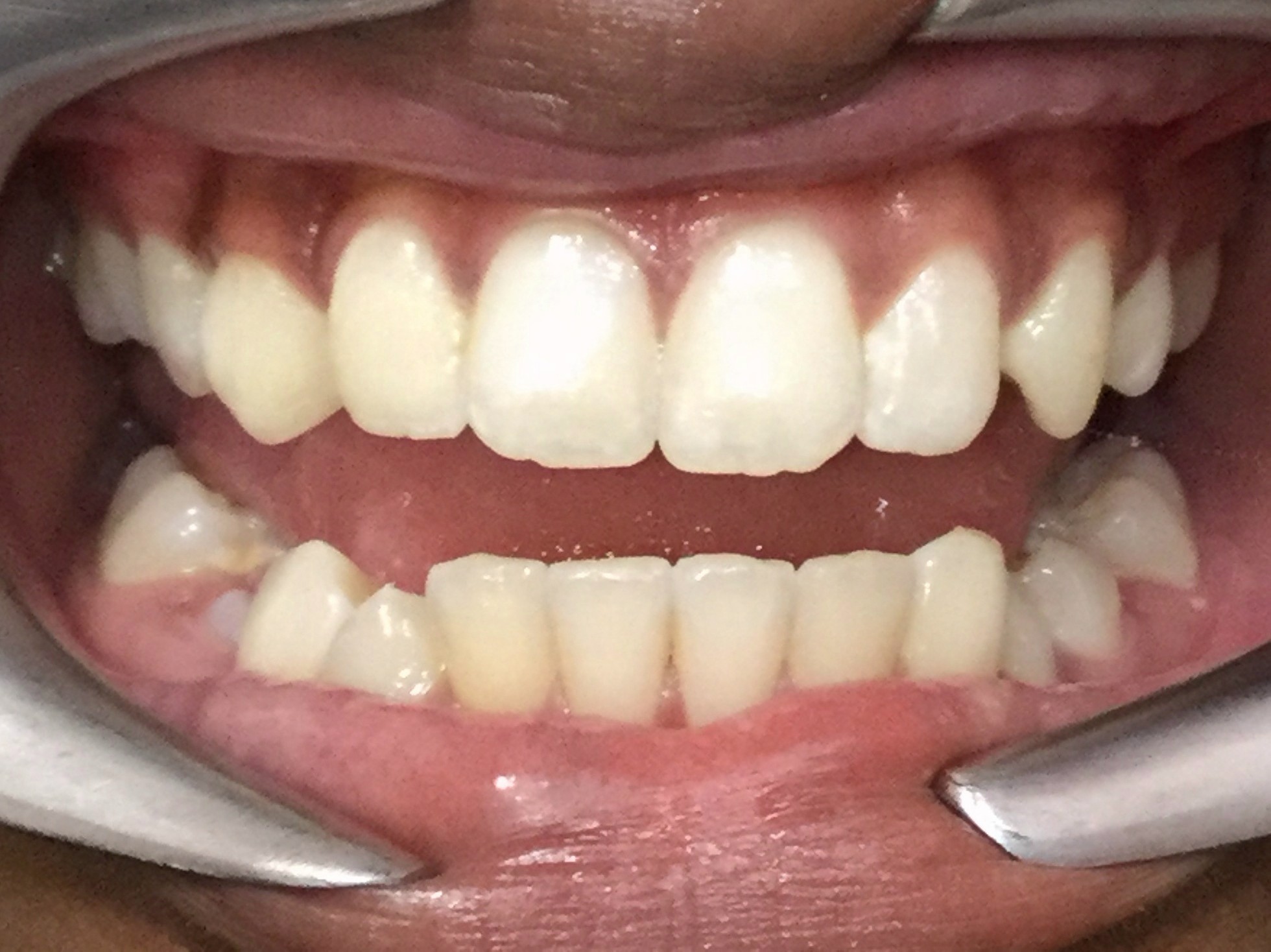
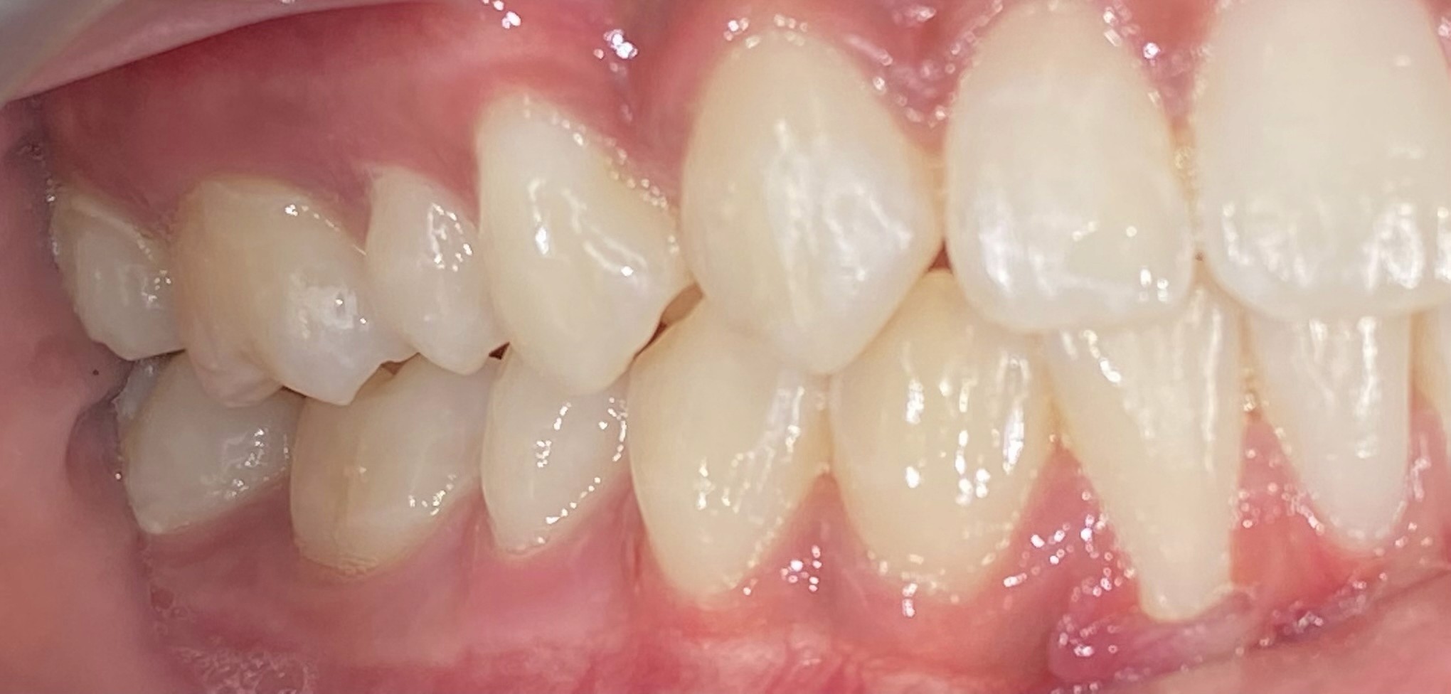
Patient 4 – Invisalign
Invisalign
What is the secret to oral health and avoiding unnecessary dental procedures? Stop issues before they begin or, at the very least, catch them early. Scheduling regular examinations and hygiene appointments with us ensures we can catch any issues before they become problematic. Better still, seeing us on a regular basis means we can prevent any of those issues from occurring in the first place. Regular appointments serve several purposes, but they all have the same goal: keeping you healthy and ensuring a bright, healthy smile.
Most people are unaware of the connection between their oral health and their overall health. Remember that everything in our bodies is connected. Having healthy teeth and an aligned bite does more than just ensure that you have a beautiful smile; it protects you from tooth decay, gum disease, and other issues. Continue reading to learn more.
Our team can meet virtually all your dental needs, providing services for everyone in the family, including preventative, restorative, and cosmetic dental treatments. For our newest patients waiting for their appointment date to arrive and others considering switching to Spy Hill Dental Clinic, here is an insight into your first visit.
It’s the most wonderful time of the year… 🎶 because Sunday, August 11th is National Align Your Teeth Day! We want it to be your favorite time of the year, too, which is why we’re extending the day to an ENTIRE MONTH.
Everyone does it… we look in the mirror and imagine what it would be like to have a perfect smile. What if we were to tell you that it’s easier than you might think? Creating great smiles is our job, and we have one cosmetic treatment that does it all. Read on to learn more about it.
It’s not often you get to treat nearly every member of a family, but that is precisely what Dr. Kolen has done over the years for the McNeals. In the picture, you’ll see Dr. Kolen with three members of the McNeal family. The McNeals are long-time patients, since 2014 in fact. Read on to learn more about this remarkable family.
Having a perfect smile is a goal many of us share. We just can’t resist the allure of straight, white, evenly-spaced teeth smiling back at us in the mirror and in pictures. Cosmetic Dentistry makes all of that possible… and more. Most people believe that cosmetic dental treatments are only superficial, but the fact is that they provide additional benefits beyond improving looks. In addition to creating a more beautiful smile, many cosmetic dentistry treatments also improve oral and overall health.
While dental hygiene has continuously improved over the decades, there are still a large number of Canadians living with missing teeth. Are you one of them? If you are, there is no reason to be ashamed or embarrassed. Tooth loss is common, especially as we advance in age. But it doesn’t have to hold you back from living your best life. We have excellent solutions to replace missing teeth, and we want to highlight one in particular. Please keep reading to learn more.
When it comes to dental care, one size does not fit all. Each person’s oral health needs are unique, and their care plan should be as well. At Spy Hill Dental Clinic, we wholeheartedly embrace the individuality of our patients. Our mission is to provide not just dental services but comprehensive care customized to each person’s distinct requirements.